Product Name :
SPIN2B polyclonal antibody Background :
SPIN2B (Spindlin Family Member 2B) is a Protein Coding gene. An important paralog of this gene is SPIN3. Involved in the regulation of cell cycle progression, this activity is related to the inhibition of apoptosis following the removal of essential growth factors. Product :
Rabbit IgG, 1mg/ml in PBS with 0.02% sodium azide, 50% glycerol, pH7.2 Storage&Stability :
Store at 4°C short term. Aliquot and store at -20°C long term. Avoid freeze-thaw cycles. Specificity :
SPIN2B polyclonal antibody detects endogenous levels of SPIN2B protein. Immunogen :
Recombinant protein of human SPIN2B. Conjugate :
Unconjugated Modification :
Unmodification
SPIN2B polyclonal antibody Background :
SPIN2B (Spindlin Family Member 2B) is a Protein Coding gene. An important paralog of this gene is SPIN3. Involved in the regulation of cell cycle progression, this activity is related to the inhibition of apoptosis following the removal of essential growth factors. Product :
Rabbit IgG, 1mg/ml in PBS with 0.02% sodium azide, 50% glycerol, pH7.2 Storage&Stability :
Store at 4°C short term. Aliquot and store at -20°C long term. Avoid freeze-thaw cycles. Specificity :
SPIN2B polyclonal antibody detects endogenous levels of SPIN2B protein. Immunogen :
Recombinant protein of human SPIN2B. Conjugate :
Unconjugated Modification :
Unmodification
-
Western blot analysis of extracts of various cell lines, using SPIN2B antibody. -
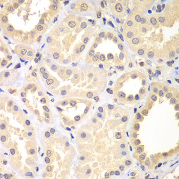
Immunohistochemistry of paraffin-embedded human kidney using SPIN2B antibody at dilution of 1:100 (x400 lens).
Bioworld Biotech only provide peptides for our antibodies and do not provide additional peptide customization services.
Price/Size :
USD 368/1mg/vial
Tips:
For phospho antibody, we provide phospho peptide(0.5mg) and non-phospho peptide(0.5mg).Describe :
Blocking peptides are peptides that bind specifically to the target antibody and block antibody binding. These peptide usually contains the epitope recognized by the antibody. Antibodies bound to the blocking peptide no longer bind to the epitope on the target protein. This mechanism is useful when non-specific binding is an issue, for example, in Western blotting (WB) and Immunohistochemistry (IHC). By comparing the staining from the blocked antibody versus the antibody alone, one can see which staining is specific; Specific binding will be absent from the western blot or IHC performed with the neutralized antibody.Formula:
Synthetic peptide was lyophilized with 100% acetonitrile and is supplied as a powder. Reconstitute with 0.1 ml DI water for a final concentration of 10 mg/ml.The purity is >90%,tested by HPLC and MS.
Storage:
The freeze-dried powder is more stable. For short time at 2-8°C. For long term storage store at -20°C.
Note :
This product is for research use only (RUO only). Not for use in diagnostic or therapeutic procedures.
SPIN2B polyclonal antibody
Datasheet
COA
MSDS
SHIP