Product Name :
SSBP2 polyclonal antibody Background :
The single-stranded-DNA-binding proteins (SSBs) are essential for DNA function in prokaryotic and eukaryotic cells, as well as in mitochondria, bacteria and viruses. SSBP2 (single-stranded DNA binding protein 2), also known as SSDP2, is a 361 amino acid protein that localizes to the nucleus and contains one LisH domain. Expressed ubiquitously, SSBP2 is thought to induce growth arrest in cancer cells and may, therefore, function as a potent tumor suppressor. The gene encoding SSBP2 maps to human chromosome 5, which contains 181 million base pairs and comprises nearly 6% of the human genome. Defects in chromosome 5-associated genes are related to the pathogenesis of Cockayne syndrome, familial adenomatous polyposis and Treacher Collins syndrome. Product :
Rabbit IgG, 1mg/ml in PBS with 0.02% sodium azide, 50% glycerol, pH7.2 Storage&Stability :
Store at 4°C short term. Aliquot and store at -20°C long term. Avoid freeze-thaw cycles. Specificity :
SSBP2 polyclonal antibody detects endogenous levels of SSBP2 protein. Immunogen :
Synthetic peptide, corresponding to amino acids 2-47 of Human SSBP2. Conjugate :
Unconjugated Modification :
Unmodification
SSBP2 polyclonal antibody Background :
The single-stranded-DNA-binding proteins (SSBs) are essential for DNA function in prokaryotic and eukaryotic cells, as well as in mitochondria, bacteria and viruses. SSBP2 (single-stranded DNA binding protein 2), also known as SSDP2, is a 361 amino acid protein that localizes to the nucleus and contains one LisH domain. Expressed ubiquitously, SSBP2 is thought to induce growth arrest in cancer cells and may, therefore, function as a potent tumor suppressor. The gene encoding SSBP2 maps to human chromosome 5, which contains 181 million base pairs and comprises nearly 6% of the human genome. Defects in chromosome 5-associated genes are related to the pathogenesis of Cockayne syndrome, familial adenomatous polyposis and Treacher Collins syndrome. Product :
Rabbit IgG, 1mg/ml in PBS with 0.02% sodium azide, 50% glycerol, pH7.2 Storage&Stability :
Store at 4°C short term. Aliquot and store at -20°C long term. Avoid freeze-thaw cycles. Specificity :
SSBP2 polyclonal antibody detects endogenous levels of SSBP2 protein. Immunogen :
Synthetic peptide, corresponding to amino acids 2-47 of Human SSBP2. Conjugate :
Unconjugated Modification :
Unmodification
-
Western blot (WB) analysis of SSBP2 polyclonal antibody at 1:500 dilution Lane1:HEK293T cell lysate Lane2:NIH-3T3 cell lysate Lane3:Rat kidney tissue lysate -
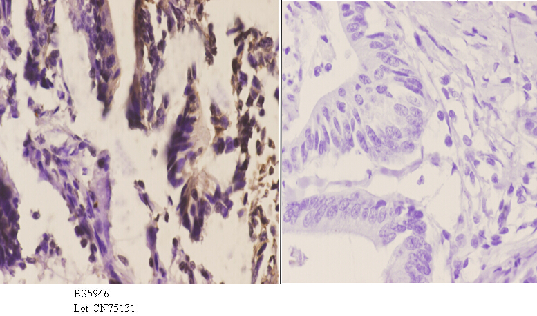
Immunohistochemistry (IHC) analyzes of SSBP2 pAb in paraffin-embedded human colon carcinoma tissue at 1:50.showing cytoplasmic and nucleus staining. Negative control (the right)Using PBS instead of primary antibody, secondary antibody is Goat Anti-Rabbit IgG-biotin followed by avidin-peroxidase. -
Immunohistochemistry (IHC) analyzes of SSBP2 pAb in paraffin-embedded human colon carcinoma tissue at 1:50.showing cytoplasmic and nucleus staining. Negative control (the right)Using PBS instead of primary antibody, secondary antibody is Goat Anti-Rabbit IgG-biotin followed by avidin-peroxidase.
Bioworld Biotech only provide peptides for our antibodies and do not provide additional peptide customization services.
Price/Size :
USD 368/1mg/vial
Tips:
For phospho antibody, we provide phospho peptide(0.5mg) and non-phospho peptide(0.5mg).Describe :
Blocking peptides are peptides that bind specifically to the target antibody and block antibody binding. These peptide usually contains the epitope recognized by the antibody. Antibodies bound to the blocking peptide no longer bind to the epitope on the target protein. This mechanism is useful when non-specific binding is an issue, for example, in Western blotting (WB) and Immunohistochemistry (IHC). By comparing the staining from the blocked antibody versus the antibody alone, one can see which staining is specific; Specific binding will be absent from the western blot or IHC performed with the neutralized antibody.Formula:
Synthetic peptide was lyophilized with 100% acetonitrile and is supplied as a powder. Reconstitute with 0.1 ml DI water for a final concentration of 10 mg/ml.The purity is >90%,tested by HPLC and MS.
Storage:
The freeze-dried powder is more stable. For short time at 2-8°C. For long term storage store at -20°C.
Note :
This product is for research use only (RUO only). Not for use in diagnostic or therapeutic procedures.
SSBP2 polyclonal antibody
Datasheet
COA
MSDS
SHIP