Product Name :
RAPSN polyclonal antibody Background :
This gene encodes a member of a family of proteins that are receptor associated proteins of the synapse. The encoded protein contains a conserved cAMP-dependent protein kinase phosphorylation site, and plays a critical role in clustering and anchoring nicotinic acetylcholine receptors at synaptic sites by linking the receptors to the underlying postsynaptic cytoskeleton, possibly by direct association with actin or spectrin. Mutations in this gene may play a role in postsynaptic congenital myasthenic syndromes. Alternatively spliced transcript variants encoding multiple isoforms have been observed for this gene. Product :
1mg/ml in PBS with 0.02% sodium azide, 50% glycerol, pH7.2 Storage&Stability :
Store at 4°C short term. Aliquot and store at -20°C long term. Avoid freeze-thaw cycles. Specificity :
Polyclonal Antibodies Immunogen :
Recombinant fusion protein of human RAPSN(NP_116034.2). Conjugate :
Unconjugated Modification :
Unmodification
RAPSN polyclonal antibody Background :
This gene encodes a member of a family of proteins that are receptor associated proteins of the synapse. The encoded protein contains a conserved cAMP-dependent protein kinase phosphorylation site, and plays a critical role in clustering and anchoring nicotinic acetylcholine receptors at synaptic sites by linking the receptors to the underlying postsynaptic cytoskeleton, possibly by direct association with actin or spectrin. Mutations in this gene may play a role in postsynaptic congenital myasthenic syndromes. Alternatively spliced transcript variants encoding multiple isoforms have been observed for this gene. Product :
1mg/ml in PBS with 0.02% sodium azide, 50% glycerol, pH7.2 Storage&Stability :
Store at 4°C short term. Aliquot and store at -20°C long term. Avoid freeze-thaw cycles. Specificity :
Polyclonal Antibodies Immunogen :
Recombinant fusion protein of human RAPSN(NP_116034.2). Conjugate :
Unconjugated Modification :
Unmodification
-
Western blot analysis of extracts of various cell lines, using RAPSN Antibody at 1:1000 dilution.
Secondary antibody: HRP Goat Anti-Rabbit IgG at 1:10000 dilution.
Lysates/proteins: 25ug per lane.
Blocking buffer: 3% nonfat dry milk in TBST.
Detection: ECL Basic Kit .
Exposure time: 15s. -
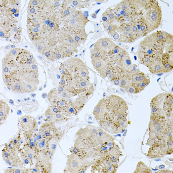
Immunohistochemistry of paraffin-embedded human stomach using RAPSN antibody at dilution of 1:100 .Perform microwave antigen retrieval with 10 mM PBS buffer pH 7.2 before commencing with IHC staining protocol. -
Immunohistochemistry of paraffin-embedded human stomach using RAPSN antibody at dilution of 1:100 .Perform microwave antigen retrieval with 10 mM PBS buffer pH 7.2 before commencing with IHC staining protocol.
Bioworld Biotech only provide peptides for our antibodies and do not provide additional peptide customization services.
Price/Size :
USD 368/1mg/vial
Tips:
For phospho antibody, we provide phospho peptide(0.5mg) and non-phospho peptide(0.5mg).Describe :
Blocking peptides are peptides that bind specifically to the target antibody and block antibody binding. These peptide usually contains the epitope recognized by the antibody. Antibodies bound to the blocking peptide no longer bind to the epitope on the target protein. This mechanism is useful when non-specific binding is an issue, for example, in Western blotting (WB) and Immunohistochemistry (IHC). By comparing the staining from the blocked antibody versus the antibody alone, one can see which staining is specific; Specific binding will be absent from the western blot or IHC performed with the neutralized antibody.Formula:
Synthetic peptide was lyophilized with 100% acetonitrile and is supplied as a powder. Reconstitute with 0.1 ml DI water for a final concentration of 10 mg/ml.The purity is >90%,tested by HPLC and MS.
Storage:
The freeze-dried powder is more stable. For short time at 2-8°C. For long term storage store at -20°C.
Note :
This product is for research use only (RUO only). Not for use in diagnostic or therapeutic procedures.
RAPSN polyclonal antibody
Datasheet
COA
MSDS
SHIP