Product Name :
GTF2F1 polyclonal antibody Background :
TFIIF is a general transcription initiation factor that binds to RNA polymerase II and helps to recruit it to the initiation complex in collaboration with TFIIB. It promotes transcription elongation. Product :
1mg/ml in PBS with 0.02% sodium azide, 50% glycerol, pH7.2 Storage&Stability :
Store at 4°C short term. Aliquot and store at -20°C long term. Avoid freeze-thaw cycles. Specificity :
Polyclonal Antibodies Immunogen :
Recombinant fusion protein of human GTF2F1(NP_002087.2). Conjugate :
Unconjugated Modification :
Unmodification
GTF2F1 polyclonal antibody Background :
TFIIF is a general transcription initiation factor that binds to RNA polymerase II and helps to recruit it to the initiation complex in collaboration with TFIIB. It promotes transcription elongation. Product :
1mg/ml in PBS with 0.02% sodium azide, 50% glycerol, pH7.2 Storage&Stability :
Store at 4°C short term. Aliquot and store at -20°C long term. Avoid freeze-thaw cycles. Specificity :
Polyclonal Antibodies Immunogen :
Recombinant fusion protein of human GTF2F1(NP_002087.2). Conjugate :
Unconjugated Modification :
Unmodification
-
Western blot analysis of extracts of various cell lines, using GTF2F1 antibody at 1:500 dilution.
Secondary antibody: HRP Goat Anti-Rabbit IgG at 1:10000 dilution.
Lysates/proteins: 25ug per lane.
Blocking buffer: 3% nonfat dry milk in TBST.
Detection: ECL Basic Kit .
Exposure time: 1s. -
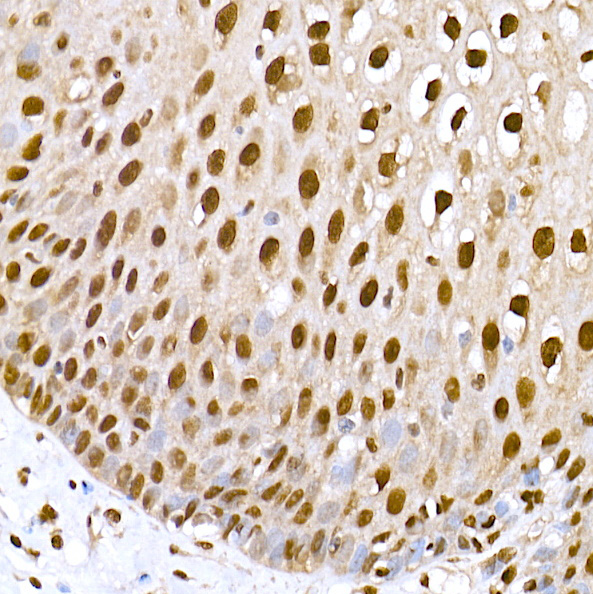
Immunohistochemistry of paraffin-embedded human colon carcinoma using GTF2F1 Rabbit pAb at dilution of 1:150 .Perform high pressure antigen retrieval with 10 mM citrate buffer pH 6.0 before commencing with IHC staining protocol. -
Immunohistochemistry of paraffin-embedded human colon carcinoma using GTF2F1 Rabbit pAb at dilution of 1:150 .Perform high pressure antigen retrieval with 10 mM citrate buffer pH 6.0 before commencing with IHC staining protocol.
Bioworld Biotech only provide peptides for our antibodies and do not provide additional peptide customization services.
Price/Size :
USD 368/1mg/vial
Tips:
For phospho antibody, we provide phospho peptide(0.5mg) and non-phospho peptide(0.5mg).Describe :
Blocking peptides are peptides that bind specifically to the target antibody and block antibody binding. These peptide usually contains the epitope recognized by the antibody. Antibodies bound to the blocking peptide no longer bind to the epitope on the target protein. This mechanism is useful when non-specific binding is an issue, for example, in Western blotting (WB) and Immunohistochemistry (IHC). By comparing the staining from the blocked antibody versus the antibody alone, one can see which staining is specific; Specific binding will be absent from the western blot or IHC performed with the neutralized antibody.Formula:
Synthetic peptide was lyophilized with 100% acetonitrile and is supplied as a powder. Reconstitute with 0.1 ml DI water for a final concentration of 10 mg/ml.The purity is >90%,tested by HPLC and MS.
Storage:
The freeze-dried powder is more stable. For short time at 2-8°C. For long term storage store at -20°C.
Note :
This product is for research use only (RUO only). Not for use in diagnostic or therapeutic procedures.
GTF2F1 polyclonal antibody
Datasheet
COA
MSDS
SHIP