Product Name :
HSD17B1 polyclonal antibody Background :
This gene encodes a member of the 17beta-hydroxysteroid dehydrogenase family of short-chain dehydrogenases/reductases. It has a dual function in estrogen activation and androgen inactivation and plays a major role in establishing the estrogen E2 concentration gradient between serum and peripheral tissues. The encoded protein catalyzes the last step in estrogen activation, using NADPH to convert estrogens E1 and E2 and androgens like 4-androstenedione, to testosterone. It has an N-terminal short-chain dehydrogenase domain with a cofactor binding site, and a narrow, hydrophobic C-terminal domain with a steroid substrate binding site. This gene is expressed primarily in the placenta and ovarian granulosa cells, and to a lesser extent, in the endometrium, adipose tissue, and prostate. Polymorphisms in this gene have been linked to breast and prostate cancer. A pseudogene of this gene has been identified. Alternative splicing results in multiple transcript variants. [provided by RefSeq, Sep 2016] Product :
1mg/ml in PBS with 0.02% sodium azide, 50% glycerol, pH7.2 Storage&Stability :
Store at 4°C short term. Aliquot and store at -20°C long term. Avoid freeze-thaw cycles. Specificity :
Polyclonal Antibodies Immunogen :
Recombinant fusion protein of human HSD17B1(NP_000404.2). Conjugate :
Unconjugated Modification :
Unmodification
HSD17B1 polyclonal antibody Background :
This gene encodes a member of the 17beta-hydroxysteroid dehydrogenase family of short-chain dehydrogenases/reductases. It has a dual function in estrogen activation and androgen inactivation and plays a major role in establishing the estrogen E2 concentration gradient between serum and peripheral tissues. The encoded protein catalyzes the last step in estrogen activation, using NADPH to convert estrogens E1 and E2 and androgens like 4-androstenedione, to testosterone. It has an N-terminal short-chain dehydrogenase domain with a cofactor binding site, and a narrow, hydrophobic C-terminal domain with a steroid substrate binding site. This gene is expressed primarily in the placenta and ovarian granulosa cells, and to a lesser extent, in the endometrium, adipose tissue, and prostate. Polymorphisms in this gene have been linked to breast and prostate cancer. A pseudogene of this gene has been identified. Alternative splicing results in multiple transcript variants. [provided by RefSeq, Sep 2016] Product :
1mg/ml in PBS with 0.02% sodium azide, 50% glycerol, pH7.2 Storage&Stability :
Store at 4°C short term. Aliquot and store at -20°C long term. Avoid freeze-thaw cycles. Specificity :
Polyclonal Antibodies Immunogen :
Recombinant fusion protein of human HSD17B1(NP_000404.2). Conjugate :
Unconjugated Modification :
Unmodification
-
Western blot analysis of extracts of various cell lines, using HSD17B1 antibody at 1:1000 dilution.
Secondary antibody: HRP Goat Anti-Rabbit IgG at 1:10000 dilution.
Lysates/proteins: 25ug per lane.
Blocking buffer: 3% nonfat dry milk in TBST.
Detection: ECL Basic Kit .
Exposure time: 5s. -
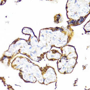
Immunohistochemistry of paraffin-embedded human placenta using HSD17B1 antibody at dilution of 1:100 .Perform microwave antigen retrieval with 10 mM PBS buffer pH 7.2 before commencing with IHC staining protocol. -
Immunohistochemistry of paraffin-embedded human placenta using HSD17B1 antibody at dilution of 1:100 .Perform microwave antigen retrieval with 10 mM PBS buffer pH 7.2 before commencing with IHC staining protocol. -
Immunohistochemistry of paraffin-embedded human placenta using HSD17B1 antibody at dilution of 1:100 .Perform microwave antigen retrieval with 10 mM PBS buffer pH 7.2 before commencing with IHC staining protocol.
Bioworld Biotech only provide peptides for our antibodies and do not provide additional peptide customization services.
Price/Size :
USD 368/1mg/vial
Tips:
For phospho antibody, we provide phospho peptide(0.5mg) and non-phospho peptide(0.5mg).Describe :
Blocking peptides are peptides that bind specifically to the target antibody and block antibody binding. These peptide usually contains the epitope recognized by the antibody. Antibodies bound to the blocking peptide no longer bind to the epitope on the target protein. This mechanism is useful when non-specific binding is an issue, for example, in Western blotting (WB) and Immunohistochemistry (IHC). By comparing the staining from the blocked antibody versus the antibody alone, one can see which staining is specific; Specific binding will be absent from the western blot or IHC performed with the neutralized antibody.Formula:
Synthetic peptide was lyophilized with 100% acetonitrile and is supplied as a powder. Reconstitute with 0.1 ml DI water for a final concentration of 10 mg/ml.The purity is >90%,tested by HPLC and MS.
Storage:
The freeze-dried powder is more stable. For short time at 2-8°C. For long term storage store at -20°C.
Note :
This product is for research use only (RUO only). Not for use in diagnostic or therapeutic procedures.
HSD17B1 polyclonal antibody
Datasheet
COA
MSDS
SHIP