Product Name :
GST3 monoclonal antibody Background :
Glutathione S-transferases (GSTs) are a family of enzymes that play an important role in detoxification by catalyzing the conjugation of many hydrophobic and electrophilic compounds with reduced glutathione. Based on their biochemical, immunologic, and structural properties, the soluble GSTs are categorized into 4 main classes: alpha, mu, pi, and theta. This GST family member is a polymorphic gene encoding active, functionally different GSTP1 variant proteins that are thought to function in xenobiotic metabolism and play a role in susceptibility to cancer, and other diseases. In response to oxidative stress, upregulation of the GST family member GSTP1 occurs, consistent with this function. Furthermore, the GSTP1 gene is subject to CpG island hypermethylation, a state that correlates with human prostatic carcinogenesis. GSTP1 gene hypermethylation can be detected in urine, ejaculate and plasma from men with prostate cancer, potentially making GSTP1 a useful biomarker for prostate cancer screening. Product :
Mouse IgG1, 1mg/ml in PBS with 0.02% sodium azide, 50% glycerol, pH7.2 Storage&Stability :
Store at +4℃ after thawing. Aliquot store at -20℃. Avoid repeated freeze / thaw cycles. Specificity :
GST3 monoclonal antibody detects endogenous levels of GST3 protein. Immunogen :
Recombinant protein within Human GST3 aa 1-150. Conjugate :
Unconjugated Modification :
Unmodification
GST3 monoclonal antibody Background :
Glutathione S-transferases (GSTs) are a family of enzymes that play an important role in detoxification by catalyzing the conjugation of many hydrophobic and electrophilic compounds with reduced glutathione. Based on their biochemical, immunologic, and structural properties, the soluble GSTs are categorized into 4 main classes: alpha, mu, pi, and theta. This GST family member is a polymorphic gene encoding active, functionally different GSTP1 variant proteins that are thought to function in xenobiotic metabolism and play a role in susceptibility to cancer, and other diseases. In response to oxidative stress, upregulation of the GST family member GSTP1 occurs, consistent with this function. Furthermore, the GSTP1 gene is subject to CpG island hypermethylation, a state that correlates with human prostatic carcinogenesis. GSTP1 gene hypermethylation can be detected in urine, ejaculate and plasma from men with prostate cancer, potentially making GSTP1 a useful biomarker for prostate cancer screening. Product :
Mouse IgG1, 1mg/ml in PBS with 0.02% sodium azide, 50% glycerol, pH7.2 Storage&Stability :
Store at +4℃ after thawing. Aliquot store at -20℃. Avoid repeated freeze / thaw cycles. Specificity :
GST3 monoclonal antibody detects endogenous levels of GST3 protein. Immunogen :
Recombinant protein within Human GST3 aa 1-150. Conjugate :
Unconjugated Modification :
Unmodification
-
Western blot analysis of GST3 on A549 cell lysate. Proteins were transferred to a PVDF membrane and blocked with 5% BSA in PBS for 1 hour at room temperature. The primary antibody was used at a 1:500 dilution in 5% BSA at room temperature for 2 hours. Goat Anti-Mouse IgG - HRP Secondary Antibody (HA1006) at 1:5,000 dilution was used for 1 hour at room temperature. -
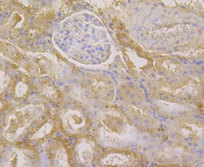
Immunohistochemical analysis of paraffin-embedded rat kidney tissue using anti-GST3 antibody. The section was pre-treated using heat mediated antigen retrieval with Tris-EDTA buffer (pH 8.0-8.4) for 20 minutes.The tissues were blocked in 5% BSA for 30 minutes at room temperature, washed with ddH2O and PBS, and then probed with EM1801-18 at 1/50 dilution, for 30 minutes at room temperature and detected using an HRP conjugated compact polymer system. DAB was used as the chrogen. Counter stained with hematoxylin and mounted with DPX.
Bioworld Biotech only provide peptides for our antibodies and do not provide additional peptide customization services.
Price/Size :
USD 368/1mg/vial
Tips:
For phospho antibody, we provide phospho peptide(0.5mg) and non-phospho peptide(0.5mg).Describe :
Blocking peptides are peptides that bind specifically to the target antibody and block antibody binding. These peptide usually contains the epitope recognized by the antibody. Antibodies bound to the blocking peptide no longer bind to the epitope on the target protein. This mechanism is useful when non-specific binding is an issue, for example, in Western blotting (WB) and Immunohistochemistry (IHC). By comparing the staining from the blocked antibody versus the antibody alone, one can see which staining is specific; Specific binding will be absent from the western blot or IHC performed with the neutralized antibody.Formula:
Synthetic peptide was lyophilized with 100% acetonitrile and is supplied as a powder. Reconstitute with 0.1 ml DI water for a final concentration of 10 mg/ml.The purity is >90%,tested by HPLC and MS.
Storage:
The freeze-dried powder is more stable. For short time at 2-8°C. For long term storage store at -20°C.
Note :
This product is for research use only (RUO only). Not for use in diagnostic or therapeutic procedures.
GST3 monoclonal antibody
Datasheet
COA
MSDS
SHIP