Product Name :
Calmodulin Rabbit monoclonal antibody Background :
The level of intracellular calcium is tightly regulated in all eukaryotic cells. A modest increase in this level can result in a myriad of physiological responses, most of which are mediated by calmodulin (CaM), the universal calcium sensor. CaM directly modulates the activity of protein kinases and phosphatases, ion channels and nitric oxide synthetases. It is generally involved in such diverse processes as cell proliferation, endocytosis, cellular adhesion, protein turn over and smooth muscle contraction. CaM (calmodulin) is an acidic protein, 148 amino acids in length, with four helix-loop-helix calcium binding domains. Product :
Rabbit IgG, 1mg/ml in PBS with 0.02% sodium azide, 50% glycerol, pH7.2 Storage&Stability :
Store at 4°C short term. Aliquot and store at -20°C long term. Avoid freeze-thaw cycles. Specificity :
This antibody detects endogenous levels of Calmodulin and does not cross-react with related proteins. Immunogen :
Recombinant antibody. Conjugate :
Unconjugated Modification :
Unmodification
Calmodulin Rabbit monoclonal antibody Background :
The level of intracellular calcium is tightly regulated in all eukaryotic cells. A modest increase in this level can result in a myriad of physiological responses, most of which are mediated by calmodulin (CaM), the universal calcium sensor. CaM directly modulates the activity of protein kinases and phosphatases, ion channels and nitric oxide synthetases. It is generally involved in such diverse processes as cell proliferation, endocytosis, cellular adhesion, protein turn over and smooth muscle contraction. CaM (calmodulin) is an acidic protein, 148 amino acids in length, with four helix-loop-helix calcium binding domains. Product :
Rabbit IgG, 1mg/ml in PBS with 0.02% sodium azide, 50% glycerol, pH7.2 Storage&Stability :
Store at 4°C short term. Aliquot and store at -20°C long term. Avoid freeze-thaw cycles. Specificity :
This antibody detects endogenous levels of Calmodulin and does not cross-react with related proteins. Immunogen :
Recombinant antibody. Conjugate :
Unconjugated Modification :
Unmodification
-
Western blot (WB) analysis of Calmodulin Rabbit mAb at 1:1000 dilution Lane1:The brain tissue lysate of Rat -
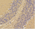
Immunohistochemical analysis of paraffin-embedded mouse cerebellum tissue using anti-Calmodulin antibody. Counter stained with hematoxylin. -
Immunohistochemical analysis of paraffin-embedded mouse cerebellum tissue using anti-Calmodulin antibody. Counter stained with hematoxylin.
The ER-Localized Transmembrane Protein EPG-3/VMP1 Regulates SERCA Activity to Control ER-Isolation Membrane Contacts for Autophagosome Formation
PMCID: Pubmed No.:28890335
Osteoblast-activating peptide exhibits a specific distribution pattern in mouse ovary and may regulate ovarian steroids and local calcium levels
PMCID: Pubmed No.:34306327
Bioworld Biotech only provide peptides for our antibodies and do not provide additional peptide customization services.
Price/Size :
USD 368/1mg/vial
Tips:
For phospho antibody, we provide phospho peptide(0.5mg) and non-phospho peptide(0.5mg).Describe :
Blocking peptides are peptides that bind specifically to the target antibody and block antibody binding. These peptide usually contains the epitope recognized by the antibody. Antibodies bound to the blocking peptide no longer bind to the epitope on the target protein. This mechanism is useful when non-specific binding is an issue, for example, in Western blotting (WB) and Immunohistochemistry (IHC). By comparing the staining from the blocked antibody versus the antibody alone, one can see which staining is specific; Specific binding will be absent from the western blot or IHC performed with the neutralized antibody.Formula:
Synthetic peptide was lyophilized with 100% acetonitrile and is supplied as a powder. Reconstitute with 0.1 ml DI water for a final concentration of 10 mg/ml.The purity is >90%,tested by HPLC and MS.
Storage:
The freeze-dried powder is more stable. For short time at 2-8°C. For long term storage store at -20°C.
Note :
This product is for research use only (RUO only). Not for use in diagnostic or therapeutic procedures.
Calmodulin Rabbit monoclonal antibody
Datasheet
COA
MSDS
SHIP