Product Name :
Cytokeratin 20 Rabbit monoclonal antibody Background :
Cytokeratin 20 is abundantly expressed in goblet cells and enterocytes of the gastrointestinal tract, and Cytokeratin 20 is a useful marker of pancreatic and colorectal cancer. Cytokeratin 20 is also helpful in distinguishing different types of highly related carcinomas, such as renal oncocytomas from renal cell carcinomas. Product :
Rabbit IgG, 1mg/ml in PBS with 0.02% sodium azide, 50% glycerol, pH7.2 Storage&Stability :
Store at 4°C short term. Aliquot and store at -20°C long term. Avoid freeze-thaw cycles. Specificity :
This antibody detects endogenous levels of Cytokeratin 20 and does not cross-react with related proteins. Immunogen :
Recombinant antibody. Conjugate :
Unconjugated Modification :
Unmodification
Cytokeratin 20 Rabbit monoclonal antibody Background :
Cytokeratin 20 is abundantly expressed in goblet cells and enterocytes of the gastrointestinal tract, and Cytokeratin 20 is a useful marker of pancreatic and colorectal cancer. Cytokeratin 20 is also helpful in distinguishing different types of highly related carcinomas, such as renal oncocytomas from renal cell carcinomas. Product :
Rabbit IgG, 1mg/ml in PBS with 0.02% sodium azide, 50% glycerol, pH7.2 Storage&Stability :
Store at 4°C short term. Aliquot and store at -20°C long term. Avoid freeze-thaw cycles. Specificity :
This antibody detects endogenous levels of Cytokeratin 20 and does not cross-react with related proteins. Immunogen :
Recombinant antibody. Conjugate :
Unconjugated Modification :
Unmodification
-
Western blot (WB) analysis of Cytokeratin 20 Rabbit mAb at 1:1000 dilution Lane1:Lovo whole cell lysate Lane2:HCT116 whole cell lysate Lane3:CRC whole cell lysate -
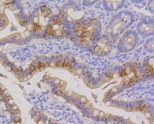
Immunohistochemical analysis of paraffin-embedded rat small intestine tissue using anti-Cytokeratin 20 antibody. Counter stained with hematoxylin. -
Immunohistochemical analysis of paraffin-embedded rat small intestine tissue using anti-Cytokeratin 20 antibody. Counter stained with hematoxylin.
Bioworld Biotech only provide peptides for our antibodies and do not provide additional peptide customization services.
Price/Size :
USD 368/1mg/vial
Tips:
For phospho antibody, we provide phospho peptide(0.5mg) and non-phospho peptide(0.5mg).Describe :
Blocking peptides are peptides that bind specifically to the target antibody and block antibody binding. These peptide usually contains the epitope recognized by the antibody. Antibodies bound to the blocking peptide no longer bind to the epitope on the target protein. This mechanism is useful when non-specific binding is an issue, for example, in Western blotting (WB) and Immunohistochemistry (IHC). By comparing the staining from the blocked antibody versus the antibody alone, one can see which staining is specific; Specific binding will be absent from the western blot or IHC performed with the neutralized antibody.Formula:
Synthetic peptide was lyophilized with 100% acetonitrile and is supplied as a powder. Reconstitute with 0.1 ml DI water for a final concentration of 10 mg/ml.The purity is >90%,tested by HPLC and MS.
Storage:
The freeze-dried powder is more stable. For short time at 2-8°C. For long term storage store at -20°C.
Note :
This product is for research use only (RUO only). Not for use in diagnostic or therapeutic procedures.
Cytokeratin 20 Rabbit monoclonal antibody
Datasheet
COA
MSDS
SHIP