Product Name :
Urokinase polyclonal antibody Background :
Urokinase plasminogen activator receptor (uPAR), also designated CD87, is a glycoprotein I-anchored surface receptor specific for urokinase plasminogen activator (uPA). Upon binding to uPAR, uPA converts the surface bound, large serum b-globulin, plasminogen to plasmin. Plasmin, which is also designated fibrinolysin, is a Trypsin- like enzyme that acts on Arg-Lys bonds and induces pericellular proteolysis in fibrin and fibrinogen, and thereby contributes to the systematic activation of the coagulation cascade. This pathway is observed during re-epithelialization of lesions, wound healing and tissue remodeling. uPA and uPAR are known to be overexpressed in mesenchymal and epithelial origin tumor cells and are required for tumor invasion and metastasis. Ras, MEK, ERK and MLCK function as downstream effectors in the uPAR-dependent signaling cascade, which is initiated by uPA binding, and promotes cellular migration in an integrin selective manner. Product :
Rabbit IgG, 1mg/ml in PBS with 0.02% sodium azide, 50% glycerol, pH7.2 Storage&Stability :
Store at +4°C after thawing. Aliquot store at -20°C or -80°C. Avoid repeated freeze / thaw cycles. Specificity :
Urokinase polyclonal antibody detects endogenous levels of Urokinase protein. Immunogen :
recombinant protein Conjugate :
Unconjugated Modification :
Unmodification
Urokinase polyclonal antibody Background :
Urokinase plasminogen activator receptor (uPAR), also designated CD87, is a glycoprotein I-anchored surface receptor specific for urokinase plasminogen activator (uPA). Upon binding to uPAR, uPA converts the surface bound, large serum b-globulin, plasminogen to plasmin. Plasmin, which is also designated fibrinolysin, is a Trypsin- like enzyme that acts on Arg-Lys bonds and induces pericellular proteolysis in fibrin and fibrinogen, and thereby contributes to the systematic activation of the coagulation cascade. This pathway is observed during re-epithelialization of lesions, wound healing and tissue remodeling. uPA and uPAR are known to be overexpressed in mesenchymal and epithelial origin tumor cells and are required for tumor invasion and metastasis. Ras, MEK, ERK and MLCK function as downstream effectors in the uPAR-dependent signaling cascade, which is initiated by uPA binding, and promotes cellular migration in an integrin selective manner. Product :
Rabbit IgG, 1mg/ml in PBS with 0.02% sodium azide, 50% glycerol, pH7.2 Storage&Stability :
Store at +4°C after thawing. Aliquot store at -20°C or -80°C. Avoid repeated freeze / thaw cycles. Specificity :
Urokinase polyclonal antibody detects endogenous levels of Urokinase protein. Immunogen :
recombinant protein Conjugate :
Unconjugated Modification :
Unmodification
-
Western blot analysis of Urokinase on MCF-7 cells lysates using anti-Urokinase antibody at 1/500 dilution. -
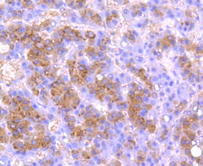
Immunohistochemical analysis of paraffin-embedded human liver carcinoma tissue using anti-Urokinase antibody. Counter stained with hematoxylin.
Bioworld Biotech only provide peptides for our antibodies and do not provide additional peptide customization services.
Price/Size :
USD 368/1mg/vial
Tips:
For phospho antibody, we provide phospho peptide(0.5mg) and non-phospho peptide(0.5mg).Describe :
Blocking peptides are peptides that bind specifically to the target antibody and block antibody binding. These peptide usually contains the epitope recognized by the antibody. Antibodies bound to the blocking peptide no longer bind to the epitope on the target protein. This mechanism is useful when non-specific binding is an issue, for example, in Western blotting (WB) and Immunohistochemistry (IHC). By comparing the staining from the blocked antibody versus the antibody alone, one can see which staining is specific; Specific binding will be absent from the western blot or IHC performed with the neutralized antibody.Formula:
Synthetic peptide was lyophilized with 100% acetonitrile and is supplied as a powder. Reconstitute with 0.1 ml DI water for a final concentration of 10 mg/ml.The purity is >90%,tested by HPLC and MS.
Storage:
The freeze-dried powder is more stable. For short time at 2-8°C. For long term storage store at -20°C.
Note :
This product is for research use only (RUO only). Not for use in diagnostic or therapeutic procedures.
Urokinase polyclonal antibody
Datasheet
COA
MSDS
SHIP