Product Name :
NDUFS3 polyclonal antibody Background :
Core subunit of the mitochondrial membrane respiratory chain NADH dehydrogenase (Complex I) that is believed to belong to the minimal assembly required for catalysis. Complex I functions in the transfer of electrons from NADH to the respiratory chain. The immediate electron acceptor for the enzyme is believed to be ubiquinone. Product :
Rabbit IgG, 1mg/ml in PBS with 0.02% sodium azide, 50% glycerol, pH7.2 Storage&Stability :
Store at +4°C after thawing. Aliquot store at -20°C. Avoid repeated freeze / thaw cycles. Specificity :
NDUFS3 polyclonal antibody detects endogenous levels of NDUFS3 protein. Immunogen :
Recombinant protein within human NDUFS3 aa 1-300. Conjugate :
Unconjugated Modification :
Unmodification
NDUFS3 polyclonal antibody Background :
Core subunit of the mitochondrial membrane respiratory chain NADH dehydrogenase (Complex I) that is believed to belong to the minimal assembly required for catalysis. Complex I functions in the transfer of electrons from NADH to the respiratory chain. The immediate electron acceptor for the enzyme is believed to be ubiquinone. Product :
Rabbit IgG, 1mg/ml in PBS with 0.02% sodium azide, 50% glycerol, pH7.2 Storage&Stability :
Store at +4°C after thawing. Aliquot store at -20°C. Avoid repeated freeze / thaw cycles. Specificity :
NDUFS3 polyclonal antibody detects endogenous levels of NDUFS3 protein. Immunogen :
Recombinant protein within human NDUFS3 aa 1-300. Conjugate :
Unconjugated Modification :
Unmodification
-
Western blot analysis of NDUFS3 on different cell lysates using anti-NDUFS3 antibody at 1/500 dilution. Positive control: Lane1: LOVO Lane2: MCF-7 -
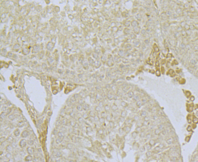
Immunohistochemical analysis of paraffin-embedded rat epididymis tissue using anti-NDUFS3 antibody. Counter stained with hematoxylin.
Bioworld Biotech only provide peptides for our antibodies and do not provide additional peptide customization services.
Price/Size :
USD 368/1mg/vial
Tips:
For phospho antibody, we provide phospho peptide(0.5mg) and non-phospho peptide(0.5mg).Describe :
Blocking peptides are peptides that bind specifically to the target antibody and block antibody binding. These peptide usually contains the epitope recognized by the antibody. Antibodies bound to the blocking peptide no longer bind to the epitope on the target protein. This mechanism is useful when non-specific binding is an issue, for example, in Western blotting (WB) and Immunohistochemistry (IHC). By comparing the staining from the blocked antibody versus the antibody alone, one can see which staining is specific; Specific binding will be absent from the western blot or IHC performed with the neutralized antibody.Formula:
Synthetic peptide was lyophilized with 100% acetonitrile and is supplied as a powder. Reconstitute with 0.1 ml DI water for a final concentration of 10 mg/ml.The purity is >90%,tested by HPLC and MS.
Storage:
The freeze-dried powder is more stable. For short time at 2-8°C. For long term storage store at -20°C.
Note :
This product is for research use only (RUO only). Not for use in diagnostic or therapeutic procedures.
NDUFS3 polyclonal antibody
Datasheet
COA
MSDS
SHIP