Product Name :
MCM5 polyclonal antibody Background :
The mini-chromosome maintenance (MCM) family of proteins, including MCM2, MCM3, MCM4 (Cdc21), MCM5 (Cdc46), MCM6 (Mis5) and MCM7 (Cdc47), are regulators of DNA replication that act to ensure replication occurs only once in the cell cycle. Expression of MCM proteins increases during cell growth, peaking at G1 to S phase. The MCM proteins each contain an ATP-binding motif, which is predicted to mediate ATP-dependent opening of double-stranded DNA. MCM proteins are regulated by E2F transcription factors, which induce MCM expression, and by protein kinases, which interact with MCM proteins to maintain the postreplicative state of the cell. MCM2/MCM4 complexes function as substrates for Cdc2/cyclin B in vitro. Cleavage of MCM3, which can be prevented by caspase inhibitors, results in the inactivation during apoptosis of the MCM complex, which is composed of, at least, MCM2–6. Product :
Rabbit IgG, 1mg/ml in PBS with 0.02% sodium azide, 50% glycerol, pH7.2 Storage&Stability :
Store at +4°C after thawing. Aliquot store at -20°C or -80°C. Avoid repeated freeze / thaw cycles. Specificity :
MCM5 polyclonal antibody detects endogenous levels of MCM5 protein. Immunogen :
Recombinant protein within C terminal human MCM5. Conjugate :
Unconjugated Modification :
Unmodification
MCM5 polyclonal antibody Background :
The mini-chromosome maintenance (MCM) family of proteins, including MCM2, MCM3, MCM4 (Cdc21), MCM5 (Cdc46), MCM6 (Mis5) and MCM7 (Cdc47), are regulators of DNA replication that act to ensure replication occurs only once in the cell cycle. Expression of MCM proteins increases during cell growth, peaking at G1 to S phase. The MCM proteins each contain an ATP-binding motif, which is predicted to mediate ATP-dependent opening of double-stranded DNA. MCM proteins are regulated by E2F transcription factors, which induce MCM expression, and by protein kinases, which interact with MCM proteins to maintain the postreplicative state of the cell. MCM2/MCM4 complexes function as substrates for Cdc2/cyclin B in vitro. Cleavage of MCM3, which can be prevented by caspase inhibitors, results in the inactivation during apoptosis of the MCM complex, which is composed of, at least, MCM2–6. Product :
Rabbit IgG, 1mg/ml in PBS with 0.02% sodium azide, 50% glycerol, pH7.2 Storage&Stability :
Store at +4°C after thawing. Aliquot store at -20°C or -80°C. Avoid repeated freeze / thaw cycles. Specificity :
MCM5 polyclonal antibody detects endogenous levels of MCM5 protein. Immunogen :
Recombinant protein within C terminal human MCM5. Conjugate :
Unconjugated Modification :
Unmodification
-
Western blot analysis of MCM5 on different lysates using anti-MCM5 antibody at 1/500 dilution. Positive control: Lane 1: Mouse thymus tissue Lane 2: SiHa -
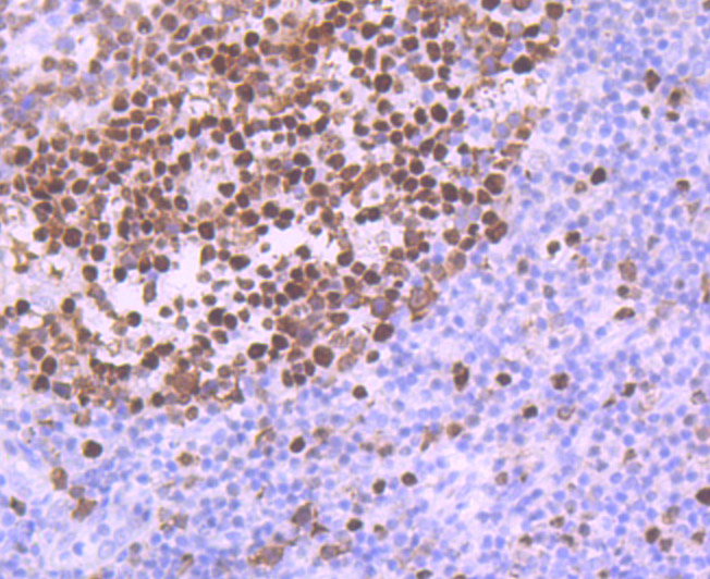
Immunohistochemical analysis of paraffin-embedded human tonsil tissue using anti-MCM5 antibody. Counter stained with hematoxylin.
Bioworld Biotech only provide peptides for our antibodies and do not provide additional peptide customization services.
Price/Size :
USD 368/1mg/vial
Tips:
For phospho antibody, we provide phospho peptide(0.5mg) and non-phospho peptide(0.5mg).Describe :
Blocking peptides are peptides that bind specifically to the target antibody and block antibody binding. These peptide usually contains the epitope recognized by the antibody. Antibodies bound to the blocking peptide no longer bind to the epitope on the target protein. This mechanism is useful when non-specific binding is an issue, for example, in Western blotting (WB) and Immunohistochemistry (IHC). By comparing the staining from the blocked antibody versus the antibody alone, one can see which staining is specific; Specific binding will be absent from the western blot or IHC performed with the neutralized antibody.Formula:
Synthetic peptide was lyophilized with 100% acetonitrile and is supplied as a powder. Reconstitute with 0.1 ml DI water for a final concentration of 10 mg/ml.The purity is >90%,tested by HPLC and MS.
Storage:
The freeze-dried powder is more stable. For short time at 2-8°C. For long term storage store at -20°C.
Note :
This product is for research use only (RUO only). Not for use in diagnostic or therapeutic procedures.
MCM5 polyclonal antibody
Datasheet
COA
MSDS
SHIP