Product Name :
IKB epsilon polyclonal antibody Background :
On the basis of both functional and structural considerations, members of the IκB family of proteins can be divided into four groups. The first of these groups, IκB-α, includes the avian protein pp40 and the mammalian MAD-3, both of which inhibit binding of p50-p65 NFkB complex or Rel protein to their cognate binding sites but do not inhibit the binding of p50 homodimer to κB sites, suggesting that the IκB-α family binds to the p65 subunit of p50-p65 heterocomplex through ankyrin repeats. The second member of the IκB family is represented by a protein designated IκB-β. The third group of IκB proteins is represented by IκB-γ, which is identical in sequence with the C-terminal domain of the p110 precursor of NFkB p50 and is expressed predominantly in lymphoid cells. An additional IκB family member, IκB-ε, has several phosphorylated forms and is primarily found complexed with Rel A and/or c-Rel. Product :
Rabbit IgG, 1mg/ml in PBS with 0.02% sodium azide, 50% glycerol, pH7.2 Storage&Stability :
Store at +4°C after thawing. Aliquot store at -20°C or -80°C. Avoid repeated freeze / thaw cycles. Specificity :
IKB epsilon polyclonal antibody detects endogenous levels of IKB epsilon protein. Immunogen :
Recombinant protein Conjugate :
Unconjugated Modification :
Unmodification
IKB epsilon polyclonal antibody Background :
On the basis of both functional and structural considerations, members of the IκB family of proteins can be divided into four groups. The first of these groups, IκB-α, includes the avian protein pp40 and the mammalian MAD-3, both of which inhibit binding of p50-p65 NFkB complex or Rel protein to their cognate binding sites but do not inhibit the binding of p50 homodimer to κB sites, suggesting that the IκB-α family binds to the p65 subunit of p50-p65 heterocomplex through ankyrin repeats. The second member of the IκB family is represented by a protein designated IκB-β. The third group of IκB proteins is represented by IκB-γ, which is identical in sequence with the C-terminal domain of the p110 precursor of NFkB p50 and is expressed predominantly in lymphoid cells. An additional IκB family member, IκB-ε, has several phosphorylated forms and is primarily found complexed with Rel A and/or c-Rel. Product :
Rabbit IgG, 1mg/ml in PBS with 0.02% sodium azide, 50% glycerol, pH7.2 Storage&Stability :
Store at +4°C after thawing. Aliquot store at -20°C or -80°C. Avoid repeated freeze / thaw cycles. Specificity :
IKB epsilon polyclonal antibody detects endogenous levels of IKB epsilon protein. Immunogen :
Recombinant protein Conjugate :
Unconjugated Modification :
Unmodification
-
Western blot analysis of IKB epsilon on different cell lysate using anti-IKB epsilon antibody at 1/1,000 dilution. Positive control: Line 1: THP-1 Line 2: Jurkat Line 3: Hela -
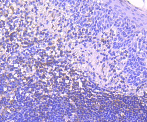
Immunohistochemical analysis of paraffin-embedded human tonsil tissue using anti-IKB epsilon antibody. Counter stained with hematoxylin.
Bioworld Biotech only provide peptides for our antibodies and do not provide additional peptide customization services.
Price/Size :
USD 368/1mg/vial
Tips:
For phospho antibody, we provide phospho peptide(0.5mg) and non-phospho peptide(0.5mg).Describe :
Blocking peptides are peptides that bind specifically to the target antibody and block antibody binding. These peptide usually contains the epitope recognized by the antibody. Antibodies bound to the blocking peptide no longer bind to the epitope on the target protein. This mechanism is useful when non-specific binding is an issue, for example, in Western blotting (WB) and Immunohistochemistry (IHC). By comparing the staining from the blocked antibody versus the antibody alone, one can see which staining is specific; Specific binding will be absent from the western blot or IHC performed with the neutralized antibody.Formula:
Synthetic peptide was lyophilized with 100% acetonitrile and is supplied as a powder. Reconstitute with 0.1 ml DI water for a final concentration of 10 mg/ml.The purity is >90%,tested by HPLC and MS.
Storage:
The freeze-dried powder is more stable. For short time at 2-8°C. For long term storage store at -20°C.
Note :
This product is for research use only (RUO only). Not for use in diagnostic or therapeutic procedures.
IKB epsilon polyclonal antibody
Datasheet
COA
MSDS
SHIP