Product Name :
Apg3 polyclonal antibody Background :
Atg3 (autophagy-related protein 3), also known as APG3-like, hAPG3 or PC3-96, is an E2-like enzyme that localizes to the cytoplasm and is expressed in a variety of tissues with predominant levels found in kidney, placenta, liver, heart and skeletal muscle. Atg3 catalyzes the formation of the Atg8-phosphatidylethanolamine (Atg8-PE) conjugate, a reaction that is essential for autophagy (a cellular process that allows for the degradation of organelles and bulk cellular proteins). The process of forming the Atg8-PE conjugate begins with the removal of the C-terminal arginine residue of Atg8 by Atg4, a cysteine protease. The, now exposed, glycine residue is then activated by Atg7 and is then transferred to Atg3 for the final conjugation to PE. This last step can be accelerated by the presence of the Atg12-Atg5 conjugate which functions similarly to an E3 enzyme. Product :
Rabbit IgG, 1mg/ml in PBS with 0.02% sodium azide, 50% glycerol, pH7.2 Storage&Stability :
Store at +4°C after thawing. Aliquot store at -20°C. Avoid repeated freeze / thaw cycles. Specificity :
Apg3 polyclonal antibody detects endogenous levels of Apg3 protein. Immunogen :
Recombinant protein with human Apg3 aa 50-250. Conjugate :
Unconjugated Modification :
Unmodification
Apg3 polyclonal antibody Background :
Atg3 (autophagy-related protein 3), also known as APG3-like, hAPG3 or PC3-96, is an E2-like enzyme that localizes to the cytoplasm and is expressed in a variety of tissues with predominant levels found in kidney, placenta, liver, heart and skeletal muscle. Atg3 catalyzes the formation of the Atg8-phosphatidylethanolamine (Atg8-PE) conjugate, a reaction that is essential for autophagy (a cellular process that allows for the degradation of organelles and bulk cellular proteins). The process of forming the Atg8-PE conjugate begins with the removal of the C-terminal arginine residue of Atg8 by Atg4, a cysteine protease. The, now exposed, glycine residue is then activated by Atg7 and is then transferred to Atg3 for the final conjugation to PE. This last step can be accelerated by the presence of the Atg12-Atg5 conjugate which functions similarly to an E3 enzyme. Product :
Rabbit IgG, 1mg/ml in PBS with 0.02% sodium azide, 50% glycerol, pH7.2 Storage&Stability :
Store at +4°C after thawing. Aliquot store at -20°C. Avoid repeated freeze / thaw cycles. Specificity :
Apg3 polyclonal antibody detects endogenous levels of Apg3 protein. Immunogen :
Recombinant protein with human Apg3 aa 50-250. Conjugate :
Unconjugated Modification :
Unmodification
-
Western blot analysis of Apg3 on HL-60 cell lysate using anti-Apg3 antibody at 1/500 dilution. -
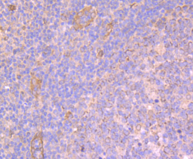
Immunohistochemical analysis of paraffin-embedded human tonsil tissue using anti-Apg3 antibody. Counter stained with hematoxylin.
Bioworld Biotech only provide peptides for our antibodies and do not provide additional peptide customization services.
Price/Size :
USD 368/1mg/vial
Tips:
For phospho antibody, we provide phospho peptide(0.5mg) and non-phospho peptide(0.5mg).Describe :
Blocking peptides are peptides that bind specifically to the target antibody and block antibody binding. These peptide usually contains the epitope recognized by the antibody. Antibodies bound to the blocking peptide no longer bind to the epitope on the target protein. This mechanism is useful when non-specific binding is an issue, for example, in Western blotting (WB) and Immunohistochemistry (IHC). By comparing the staining from the blocked antibody versus the antibody alone, one can see which staining is specific; Specific binding will be absent from the western blot or IHC performed with the neutralized antibody.Formula:
Synthetic peptide was lyophilized with 100% acetonitrile and is supplied as a powder. Reconstitute with 0.1 ml DI water for a final concentration of 10 mg/ml.The purity is >90%,tested by HPLC and MS.
Storage:
The freeze-dried powder is more stable. For short time at 2-8°C. For long term storage store at -20°C.
Note :
This product is for research use only (RUO only). Not for use in diagnostic or therapeutic procedures.
Apg3 polyclonal antibody
Datasheet
COA
MSDS
SHIP