Product Name :
CAF-1 p60 polyclonal antibody Background :
Chromatin assembly factor-1 (CAF-1) is a multisubunit protein complex that comprises three polypeptide subunits known as p150, p60, and p48. CAF-1 is a nucleosome assembly factor that deposits newly synthesized and acetylated histones H3/H4 into nascent chromatin during DNA replication. The p150 subunit of CAF-1 also supports the maintenance of heterochromatin, which requires the synthesis of both new histones and heterochromatin proteins and their orderly assembly during DNA replication. Product :
Rabbit IgG, 1mg/ml in PBS with 0.02% sodium azide, 50% glycerol, pH7.2 Storage&Stability :
Store at 4°C short term. Aliquot and store at -20°C long term. Avoid freeze-thaw cycles. Specificity :
CAF-1 p60 polyclonal antibody detects endogenous levels of CAF-1 p60 protein. Immunogen :
Recombinant protein of human CHAF1B Conjugate :
Unconjugated Modification :
Unmodification
CAF-1 p60 polyclonal antibody Background :
Chromatin assembly factor-1 (CAF-1) is a multisubunit protein complex that comprises three polypeptide subunits known as p150, p60, and p48. CAF-1 is a nucleosome assembly factor that deposits newly synthesized and acetylated histones H3/H4 into nascent chromatin during DNA replication. The p150 subunit of CAF-1 also supports the maintenance of heterochromatin, which requires the synthesis of both new histones and heterochromatin proteins and their orderly assembly during DNA replication. Product :
Rabbit IgG, 1mg/ml in PBS with 0.02% sodium azide, 50% glycerol, pH7.2 Storage&Stability :
Store at 4°C short term. Aliquot and store at -20°C long term. Avoid freeze-thaw cycles. Specificity :
CAF-1 p60 polyclonal antibody detects endogenous levels of CAF-1 p60 protein. Immunogen :
Recombinant protein of human CHAF1B Conjugate :
Unconjugated Modification :
Unmodification
-
Western blot analysis of extracts of various cell lines, using CHAF1B antibody at 1:1000 dilution. -
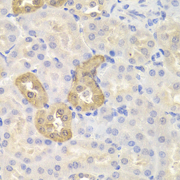
Immunohistochemistry of paraffin-embedded mouse kidney using CHAF1B antibody at dilution of 1:200 (40x lens).
Bioworld Biotech only provide peptides for our antibodies and do not provide additional peptide customization services.
Price/Size :
USD 368/1mg/vial
Tips:
For phospho antibody, we provide phospho peptide(0.5mg) and non-phospho peptide(0.5mg).Describe :
Blocking peptides are peptides that bind specifically to the target antibody and block antibody binding. These peptide usually contains the epitope recognized by the antibody. Antibodies bound to the blocking peptide no longer bind to the epitope on the target protein. This mechanism is useful when non-specific binding is an issue, for example, in Western blotting (WB) and Immunohistochemistry (IHC). By comparing the staining from the blocked antibody versus the antibody alone, one can see which staining is specific; Specific binding will be absent from the western blot or IHC performed with the neutralized antibody.Formula:
Synthetic peptide was lyophilized with 100% acetonitrile and is supplied as a powder. Reconstitute with 0.1 ml DI water for a final concentration of 10 mg/ml.The purity is >90%,tested by HPLC and MS.
Storage:
The freeze-dried powder is more stable. For short time at 2-8°C. For long term storage store at -20°C.
Note :
This product is for research use only (RUO only). Not for use in diagnostic or therapeutic procedures.
CAF-1 p60 polyclonal antibody
Datasheet
COA
MSDS
SHIP