Product Name :
RUFY1 polyclonal antibody Background :
This gene encodes a protein that contains a RUN domain and a FYVE-type zinc finger domain. The encoded protein binds to phosphatidylinositol-3-phosphate (PI3P) and plays a role in early endosomal trafficking, tethering and fusion through interactions with small GTPases including Rab4, Rab5 and Rab14. Alternatively spliced transcript variants encoding multiple isoforms have been observed for this gene. Product :
Rabbit IgG, 1mg/ml in PBS with 0.02% sodium azide, 50% glycerol, pH7.2 Storage&Stability :
Store at 4°C short term. Aliquot and store at -20°C long term. Avoid freeze-thaw cycles. Specificity :
RUFY1 polyclonal antibody detects endogenous levels of RUFY1 protein. Immunogen :
Recombinant protein of human RUFY1. Conjugate :
Unconjugated Modification :
Unmodification
RUFY1 polyclonal antibody Background :
This gene encodes a protein that contains a RUN domain and a FYVE-type zinc finger domain. The encoded protein binds to phosphatidylinositol-3-phosphate (PI3P) and plays a role in early endosomal trafficking, tethering and fusion through interactions with small GTPases including Rab4, Rab5 and Rab14. Alternatively spliced transcript variants encoding multiple isoforms have been observed for this gene. Product :
Rabbit IgG, 1mg/ml in PBS with 0.02% sodium azide, 50% glycerol, pH7.2 Storage&Stability :
Store at 4°C short term. Aliquot and store at -20°C long term. Avoid freeze-thaw cycles. Specificity :
RUFY1 polyclonal antibody detects endogenous levels of RUFY1 protein. Immunogen :
Recombinant protein of human RUFY1. Conjugate :
Unconjugated Modification :
Unmodification
-
Western blot analysis of extracts of various cells, using RUFY1 antibody. -
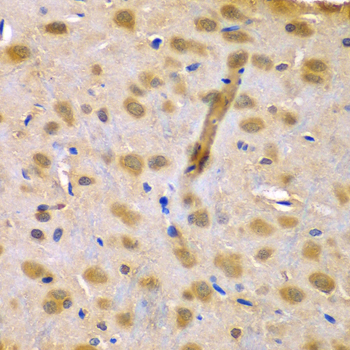
Immunohistochemistry of paraffin-embedded rat brain using RUFY1 antibody at dilution of 1:100 (40x lens).
Bioworld Biotech only provide peptides for our antibodies and do not provide additional peptide customization services.
Price/Size :
USD 368/1mg/vial
Tips:
For phospho antibody, we provide phospho peptide(0.5mg) and non-phospho peptide(0.5mg).Describe :
Blocking peptides are peptides that bind specifically to the target antibody and block antibody binding. These peptide usually contains the epitope recognized by the antibody. Antibodies bound to the blocking peptide no longer bind to the epitope on the target protein. This mechanism is useful when non-specific binding is an issue, for example, in Western blotting (WB) and Immunohistochemistry (IHC). By comparing the staining from the blocked antibody versus the antibody alone, one can see which staining is specific; Specific binding will be absent from the western blot or IHC performed with the neutralized antibody.Formula:
Synthetic peptide was lyophilized with 100% acetonitrile and is supplied as a powder. Reconstitute with 0.1 ml DI water for a final concentration of 10 mg/ml.The purity is >90%,tested by HPLC and MS.
Storage:
The freeze-dried powder is more stable. For short time at 2-8°C. For long term storage store at -20°C.
Note :
This product is for research use only (RUO only). Not for use in diagnostic or therapeutic procedures.
RUFY1 polyclonal antibody
Datasheet
COA
MSDS
SHIP