Product Name :
ABHD4 polyclonal antibody Background :
The α/β hydrolase superfamily is comprised of diverse members that are involved in important biochemical processes and related to various diseases. They have unrelated sequences, various substrates, and different kinds of catalytic activities, yet they share the same canonical α/β hydrolase fold, which consists of an eight-stranded parallel α/β structure. They are also characterized by a catalytic triad composed of a histidine, an acid and a nucleophile. Members of this superfamily are often drug targets for treating diseases, such as diabetes, Alzheimer’s disease, obesity and blood clotting disorders. ABHD1 plays a role in metabolizing smoking xenobiotics. ABHD2 participates in the development of atherosclerosis. ABHD4 is involved in an alternative synthesis pathway of NAE. ABHD4 is a lysophospholipase selective for N-acyl phosphatidylethanolamine (NAPE) which participates in the biosynthesis of N-acyl ethanolamines. Mutations in ABHD5 contribute to Chanarin-Dorfman syndrome. ABDH6 may play a role in nervous system metabolism and signaling. ABHD14A is possibly involved in granule neuron development. Product :
Rabbit IgG, 1mg/ml in PBS with 0.02% sodium azide, 50% glycerol, pH7.2 Storage&Stability :
Store at 4°C short term. Aliquot and store at -20°C long term. Avoid freeze-thaw cycles. Specificity :
ABHD4 polyclonal antibody detects endogenous levels of ABHD4 protein. Immunogen :
A synthetic peptide corresponding to residues in Human ABHD4. Conjugate :
Unconjugated Modification :
Unmodification
ABHD4 polyclonal antibody Background :
The α/β hydrolase superfamily is comprised of diverse members that are involved in important biochemical processes and related to various diseases. They have unrelated sequences, various substrates, and different kinds of catalytic activities, yet they share the same canonical α/β hydrolase fold, which consists of an eight-stranded parallel α/β structure. They are also characterized by a catalytic triad composed of a histidine, an acid and a nucleophile. Members of this superfamily are often drug targets for treating diseases, such as diabetes, Alzheimer’s disease, obesity and blood clotting disorders. ABHD1 plays a role in metabolizing smoking xenobiotics. ABHD2 participates in the development of atherosclerosis. ABHD4 is involved in an alternative synthesis pathway of NAE. ABHD4 is a lysophospholipase selective for N-acyl phosphatidylethanolamine (NAPE) which participates in the biosynthesis of N-acyl ethanolamines. Mutations in ABHD5 contribute to Chanarin-Dorfman syndrome. ABDH6 may play a role in nervous system metabolism and signaling. ABHD14A is possibly involved in granule neuron development. Product :
Rabbit IgG, 1mg/ml in PBS with 0.02% sodium azide, 50% glycerol, pH7.2 Storage&Stability :
Store at 4°C short term. Aliquot and store at -20°C long term. Avoid freeze-thaw cycles. Specificity :
ABHD4 polyclonal antibody detects endogenous levels of ABHD4 protein. Immunogen :
A synthetic peptide corresponding to residues in Human ABHD4. Conjugate :
Unconjugated Modification :
Unmodification
-
Western blot (WB) analysis of ABHD4 polyclonal antibody at 1:500 dilution Lane1:HEK293T whole cell lysate Lane2:RAW264.7 whole cell lysate Lane3:H9C2 whole cell lysate -
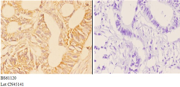
Immunohistochemistry (IHC) analyzes of ABHD4 pAb in paraffin-embedded mouse brain carcinoma tissue at 1:50,showing cytoplasmic and membrane staining.Negative control (the right)Using PBS instead of primary antibody, secondary antibody is Goat Anti-Rabbit IgG-biotin followed by avidin-peroxidase. -
Immunohistochemistry (IHC) analyzes of ABHD4 pAb in paraffin-embedded mouse brain carcinoma tissue at 1:50,showing cytoplasmic and membrane staining.Negative control (the right)Using PBS instead of primary antibody, secondary antibody is Goat Anti-Rabbit IgG-biotin followed by avidin-peroxidase.
Bioworld Biotech only provide peptides for our antibodies and do not provide additional peptide customization services.
Price/Size :
USD 368/1mg/vial
Tips:
For phospho antibody, we provide phospho peptide(0.5mg) and non-phospho peptide(0.5mg).Describe :
Blocking peptides are peptides that bind specifically to the target antibody and block antibody binding. These peptide usually contains the epitope recognized by the antibody. Antibodies bound to the blocking peptide no longer bind to the epitope on the target protein. This mechanism is useful when non-specific binding is an issue, for example, in Western blotting (WB) and Immunohistochemistry (IHC). By comparing the staining from the blocked antibody versus the antibody alone, one can see which staining is specific; Specific binding will be absent from the western blot or IHC performed with the neutralized antibody.Formula:
Synthetic peptide was lyophilized with 100% acetonitrile and is supplied as a powder. Reconstitute with 0.1 ml DI water for a final concentration of 10 mg/ml.The purity is >90%,tested by HPLC and MS.
Storage:
The freeze-dried powder is more stable. For short time at 2-8°C. For long term storage store at -20°C.
Note :
This product is for research use only (RUO only). Not for use in diagnostic or therapeutic procedures.
ABHD4 polyclonal antibody
Datasheet
COA
MSDS
SHIP