Product Name :
ABCA7 polyclonal antibody Background :
ATP-binding cassette (ABC) transporters are an evolutionarily conserved family of widely-expressed proteins that use ATP hydrolysis to catalyze the transport of various molecules across extracellular and intracellular membranes. Eukaryotic ABC transporters are largely responsible for trafficking hydrophobic compounds either within the cell as part of a metabolic process, outside the cell for transport to other organs, or for secretion from the body. The cholesterol-responsive transporter, ABCA7, maps to human chromosome 19 and mouse chromosome 10 and has been reported as a candidate regulator of ceramide transport in epidermal lipid reorganization. High expression levels of ABCA7 have been reported in myelolymphatic tissues, reticuloendothelial cells, peripheral leukocytes, thymus, spleen and bone marrow. This expression pattern of the two alternatively-spliced isoforms also indicates an involvement in lipid homeostasis in cells of the immune system, though the complete role of ABCA7 is not yet known. Full-length type I ABCA7 has shown plasma membrane localization, while the type II splicing variant has shown expression predominantly in the endoplasmic reticulum. Product :
Rabbit IgG, 1mg/ml in PBS with 0.02% sodium azide, 50% glycerol, pH7.2 Storage&Stability :
Store at 4°C short term. Aliquot and store at -20°C long term. Avoid freeze-thaw cycles. Specificity :
ABCA7 polyclonal antibody detects endogenous levels of ABCA7 protein. Immunogen :
A synthetic peptide corresponding to residues in Human ABCA7. Conjugate :
Unconjugated Modification :
Unmodification
ABCA7 polyclonal antibody Background :
ATP-binding cassette (ABC) transporters are an evolutionarily conserved family of widely-expressed proteins that use ATP hydrolysis to catalyze the transport of various molecules across extracellular and intracellular membranes. Eukaryotic ABC transporters are largely responsible for trafficking hydrophobic compounds either within the cell as part of a metabolic process, outside the cell for transport to other organs, or for secretion from the body. The cholesterol-responsive transporter, ABCA7, maps to human chromosome 19 and mouse chromosome 10 and has been reported as a candidate regulator of ceramide transport in epidermal lipid reorganization. High expression levels of ABCA7 have been reported in myelolymphatic tissues, reticuloendothelial cells, peripheral leukocytes, thymus, spleen and bone marrow. This expression pattern of the two alternatively-spliced isoforms also indicates an involvement in lipid homeostasis in cells of the immune system, though the complete role of ABCA7 is not yet known. Full-length type I ABCA7 has shown plasma membrane localization, while the type II splicing variant has shown expression predominantly in the endoplasmic reticulum. Product :
Rabbit IgG, 1mg/ml in PBS with 0.02% sodium azide, 50% glycerol, pH7.2 Storage&Stability :
Store at 4°C short term. Aliquot and store at -20°C long term. Avoid freeze-thaw cycles. Specificity :
ABCA7 polyclonal antibody detects endogenous levels of ABCA7 protein. Immunogen :
A synthetic peptide corresponding to residues in Human ABCA7. Conjugate :
Unconjugated Modification :
Unmodification
-
Western blot (WB) analysis of ABCA7 polyclonal antibody at 1:500 dilution Lane1:Hela whole cell lysate Lane2:Raw264.7 whole cell lysate Lane3:PC12 whole cell lysate -
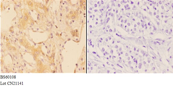
Immunohistochemistry (IHC) analyzes of ABCA7 pAb in paraffin-embedded human lung carcinoma tissue at 1:50,showing membrane staining.Negative control (the right)Using PBS instead of primary antibody, secondary antibody is Goat Anti-Rabbit IgG-biotin followed by avidin-peroxidase. -
Immunohistochemistry (IHC) analyzes of ABCA7 pAb in paraffin-embedded human lung carcinoma tissue at 1:50,showing membrane staining.Negative control (the right)Using PBS instead of primary antibody, secondary antibody is Goat Anti-Rabbit IgG-biotin followed by avidin-peroxidase. -
Immunohistochemistry (IHC) analyzes of ABCA7 pAb in paraffin-embedded human lung carcinoma tissue at 1:50,showing membrane staining.Negative control (the right)Using PBS instead of primary antibody, secondary antibody is Goat Anti-Rabbit IgG-biotin followed by avidin-peroxidase.
Bioworld Biotech only provide peptides for our antibodies and do not provide additional peptide customization services.
Price/Size :
USD 368/1mg/vial
Tips:
For phospho antibody, we provide phospho peptide(0.5mg) and non-phospho peptide(0.5mg).Describe :
Blocking peptides are peptides that bind specifically to the target antibody and block antibody binding. These peptide usually contains the epitope recognized by the antibody. Antibodies bound to the blocking peptide no longer bind to the epitope on the target protein. This mechanism is useful when non-specific binding is an issue, for example, in Western blotting (WB) and Immunohistochemistry (IHC). By comparing the staining from the blocked antibody versus the antibody alone, one can see which staining is specific; Specific binding will be absent from the western blot or IHC performed with the neutralized antibody.Formula:
Synthetic peptide was lyophilized with 100% acetonitrile and is supplied as a powder. Reconstitute with 0.1 ml DI water for a final concentration of 10 mg/ml.The purity is >90%,tested by HPLC and MS.
Storage:
The freeze-dried powder is more stable. For short time at 2-8°C. For long term storage store at -20°C.
Note :
This product is for research use only (RUO only). Not for use in diagnostic or therapeutic procedures.
ABCA7 polyclonal antibody
Datasheet
COA
MSDS
SHIP