Product Name :
Rsk-1 (phospho-S380) polyclonal antibody Background :
The family of ribosomal S6 kinases (Rsks), designated Rsk-1 (or MAPKAP kinase-1), Rsk-2 and Rsk-3, are intracellular serine/threonine kinases that are important signaling intermediates in response to a broad range of ligand activated receptor tyrosine kinases. A unique feature common to the members of the Rsk family is that each possesses two non-identical complete kinase catalytic domains. An additional Rsk protein, Rsk-4, shows a high level of homology to the three previously isolated members of the human Rsk family. Rsk-4 is most abundantly expressed in brain and kidney and plays a role in normal neuronal development. Product :
Rabbit IgG, 1mg/ml in PBS with 0.02% sodium azide, 50% glycerol, pH7.2 Storage&Stability :
Store at 4°C short term. Aliquot and store at -20°C long term. Avoid freeze-thaw cycles. Specificity :
p-Rsk-1 (S380) polyclonal antibody detects endogenous levels of Rsk-1 protein only when phosphorylated at Ser380. Immunogen :
Synthetic phosphopeptide derived from human Rsk-1 around the phosphorylation site of Serine 380. Conjugate :
Unconjugated Modification :
Phosphorylation
Rsk-1 (phospho-S380) polyclonal antibody Background :
The family of ribosomal S6 kinases (Rsks), designated Rsk-1 (or MAPKAP kinase-1), Rsk-2 and Rsk-3, are intracellular serine/threonine kinases that are important signaling intermediates in response to a broad range of ligand activated receptor tyrosine kinases. A unique feature common to the members of the Rsk family is that each possesses two non-identical complete kinase catalytic domains. An additional Rsk protein, Rsk-4, shows a high level of homology to the three previously isolated members of the human Rsk family. Rsk-4 is most abundantly expressed in brain and kidney and plays a role in normal neuronal development. Product :
Rabbit IgG, 1mg/ml in PBS with 0.02% sodium azide, 50% glycerol, pH7.2 Storage&Stability :
Store at 4°C short term. Aliquot and store at -20°C long term. Avoid freeze-thaw cycles. Specificity :
p-Rsk-1 (S380) polyclonal antibody detects endogenous levels of Rsk-1 protein only when phosphorylated at Ser380. Immunogen :
Synthetic phosphopeptide derived from human Rsk-1 around the phosphorylation site of Serine 380. Conjugate :
Unconjugated Modification :
Phosphorylation
-
Western blot (WB) analysis of p-Rsk-1 (S380) polyclonal antibody at 1:500 dilution Lane1:Hela cell lysate treated with PMA(100nM,15mins) Lane2:NIH-3T3 cell lysate treated with PMA(100nM,15mins) Lane3:PC12 cell lysate treated with PMA(100nM,15mins) -
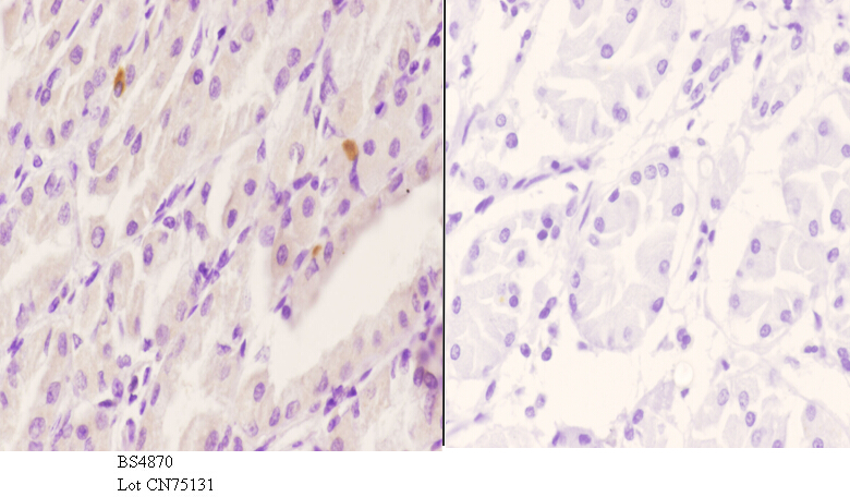
Immunohistochemistry (IHC) analyzes of p-Rsk-1 (S380) pAb in paraffin-embedded human liver carcinoma tissue at 1:50.showing cytoplasmic and nucleus staining. Negative control (the right)Using PBS instead of primary antibody, secondary antibody is Goat Anti-Rabbit IgG-biotin followed by avidin-peroxidase. -
Immunohistochemistry (IHC) analyzes of p-Rsk-1 (S380) pAb in paraffin-embedded human liver carcinoma tissue at 1:50.showing cytoplasmic and nucleus staining. Negative control (the right)Using PBS instead of primary antibody, secondary antibody is Goat Anti-Rabbit IgG-biotin followed by avidin-peroxidase. -
Immunohistochemistry (IHC) analyzes of p-Rsk-1 (S380) pAb in paraffin-embedded human liver carcinoma tissue at 1:50.showing cytoplasmic and nucleus staining. Negative control (the right)Using PBS instead of primary antibody, secondary antibody is Goat Anti-Rabbit IgG-biotin followed by avidin-peroxidase.
Bioworld Biotech only provide peptides for our antibodies and do not provide additional peptide customization services.
Price/Size :
USD 368/1mg/vial
Tips:
For phospho antibody, we provide phospho peptide(0.5mg) and non-phospho peptide(0.5mg).Describe :
Blocking peptides are peptides that bind specifically to the target antibody and block antibody binding. These peptide usually contains the epitope recognized by the antibody. Antibodies bound to the blocking peptide no longer bind to the epitope on the target protein. This mechanism is useful when non-specific binding is an issue, for example, in Western blotting (WB) and Immunohistochemistry (IHC). By comparing the staining from the blocked antibody versus the antibody alone, one can see which staining is specific; Specific binding will be absent from the western blot or IHC performed with the neutralized antibody.Formula:
Synthetic peptide was lyophilized with 100% acetonitrile and is supplied as a powder. Reconstitute with 0.1 ml DI water for a final concentration of 10 mg/ml.The purity is >90%,tested by HPLC and MS.
Storage:
The freeze-dried powder is more stable. For short time at 2-8°C. For long term storage store at -20°C.
Note :
This product is for research use only (RUO only). Not for use in diagnostic or therapeutic procedures.
Rsk-1 (phospho-S380) polyclonal antibody
Datasheet
COA
MSDS
SHIP