Product Name :
PKC δ (phospho-Y52) polyclonal antibody Background :
Protein Kinase C delta (PKC delta) is a 78 kDa member of the novel group (nPKCs: sensitive to diacylglycerol, phosphatidylserine, and phorbol esters) of the PKC family of serine/threonine kinases that are involved in a wide range of physiological processes including mitogenesis, cell survival and transcriptional regulation. PKC delta is an ubiquitously expressed PKC isozyme that has been implicated in the regulation of multiple cellular processes including cell cycle progression and apoptosis. Autophosphorylation of serine 664 (serine 662 in mouse and rat) contributes to PKC delta activity. Serum dependent phosphorylation of serine 664 is mediated by mTOR pathway, is protected from dephosphorylation by phosphorylated threonine 505 in the activation loop, and is implicated in prolactin signaling. Product :
Rabbit IgG, 1mg/ml in PBS with 0.02% sodium azide, 50% glycerol, pH7.2 Storage&Stability :
Store at 4°C short term. Aliquot and store at -20°C long term. Avoid freeze-thaw cycles. Specificity :
p-PKC δ (Y52) polyclonal antibody detects endogenous levels of PKC δ protein only when phosphorylated at Tyr52. Immunogen :
Synthetic phosphopeptide derived from human PKC δ around the phosphorylation site of Tyrosine 52. Conjugate :
Unconjugated Modification :
Phosphorylation
PKC δ (phospho-Y52) polyclonal antibody Background :
Protein Kinase C delta (PKC delta) is a 78 kDa member of the novel group (nPKCs: sensitive to diacylglycerol, phosphatidylserine, and phorbol esters) of the PKC family of serine/threonine kinases that are involved in a wide range of physiological processes including mitogenesis, cell survival and transcriptional regulation. PKC delta is an ubiquitously expressed PKC isozyme that has been implicated in the regulation of multiple cellular processes including cell cycle progression and apoptosis. Autophosphorylation of serine 664 (serine 662 in mouse and rat) contributes to PKC delta activity. Serum dependent phosphorylation of serine 664 is mediated by mTOR pathway, is protected from dephosphorylation by phosphorylated threonine 505 in the activation loop, and is implicated in prolactin signaling. Product :
Rabbit IgG, 1mg/ml in PBS with 0.02% sodium azide, 50% glycerol, pH7.2 Storage&Stability :
Store at 4°C short term. Aliquot and store at -20°C long term. Avoid freeze-thaw cycles. Specificity :
p-PKC δ (Y52) polyclonal antibody detects endogenous levels of PKC δ protein only when phosphorylated at Tyr52. Immunogen :
Synthetic phosphopeptide derived from human PKC δ around the phosphorylation site of Tyrosine 52. Conjugate :
Unconjugated Modification :
Phosphorylation
-
Western blot (WB) analysis of p-PKC δ (Y52) polyclonal antibody at 1:500 dilution Lane1:MCF-7 cell lysate treated with serum starvation(24h) Lane2:Raw264.7 cell lysate treated with serum starvation(24h) Lane3:H9C2 cell lysate treated with serum starvation(24h) -
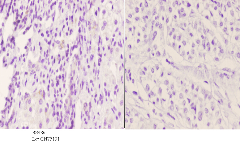
Immunohistochemistry (IHC) analyzes of p-PKC δ (Y52) pAb in paraffin-embedded human liver carcinoma tissue at 1:50.showing cytoplasmic and nucleus staining. Negative control (the right)Using PBS instead of primary antibody, secondary antibody is Goat Anti-Rabbit IgG-biotin followed by avidin-peroxidase.
Bioworld Biotech only provide peptides for our antibodies and do not provide additional peptide customization services.
Price/Size :
USD 368/1mg/vial
Tips:
For phospho antibody, we provide phospho peptide(0.5mg) and non-phospho peptide(0.5mg).Describe :
Blocking peptides are peptides that bind specifically to the target antibody and block antibody binding. These peptide usually contains the epitope recognized by the antibody. Antibodies bound to the blocking peptide no longer bind to the epitope on the target protein. This mechanism is useful when non-specific binding is an issue, for example, in Western blotting (WB) and Immunohistochemistry (IHC). By comparing the staining from the blocked antibody versus the antibody alone, one can see which staining is specific; Specific binding will be absent from the western blot or IHC performed with the neutralized antibody.Formula:
Synthetic peptide was lyophilized with 100% acetonitrile and is supplied as a powder. Reconstitute with 0.1 ml DI water for a final concentration of 10 mg/ml.The purity is >90%,tested by HPLC and MS.
Storage:
The freeze-dried powder is more stable. For short time at 2-8°C. For long term storage store at -20°C.
Note :
This product is for research use only (RUO only). Not for use in diagnostic or therapeutic procedures.
PKC δ (phospho-Y52) polyclonal antibody
Datasheet
COA
MSDS
SHIP