Product Name :
Adducin β (E497) polyclonal antibody Background :
Adducins are a family of cytoskeleton proteins encoded by three genes (α, β and γ). Adducin is a protein associated with the inner leaflet of the plasma membrane and is one of the proteins localized at the spectrin-actin junction of the membrane skeleton. The cortical actin cytoskeletal network is lost during apoptosis and adducins are central in the cortical actin network organization. Adducin α is a cytoskeletal protein involved with sodium-pump activity in the renal tubule and is associated with hypertension. The expression of Adducin α and Adducin γ is ubiquitous in contrast to the restricted expression of Adducin β. Adducin β is expressed at high levels in brain and hematopoietic tissues, such as bone marrow in humans, and spleen in mice. Product :
Rabbit IgG, 1mg/ml in PBS with 0.02% sodium azide, 50% glycerol, pH7.2 Storage&Stability :
Store at 4°C short term. Aliquot and store at -20°C long term. Avoid freeze-thaw cycles. Specificity :
Adducin β (E497) polyclonal antibody detects endogenous levels of Adducin β protein. Immunogen :
Synthetic peptide, corresponding to amino acids 470-520 of Human Adducin β. Conjugate :
Unconjugated Modification :
Unmodification
Adducin β (E497) polyclonal antibody Background :
Adducins are a family of cytoskeleton proteins encoded by three genes (α, β and γ). Adducin is a protein associated with the inner leaflet of the plasma membrane and is one of the proteins localized at the spectrin-actin junction of the membrane skeleton. The cortical actin cytoskeletal network is lost during apoptosis and adducins are central in the cortical actin network organization. Adducin α is a cytoskeletal protein involved with sodium-pump activity in the renal tubule and is associated with hypertension. The expression of Adducin α and Adducin γ is ubiquitous in contrast to the restricted expression of Adducin β. Adducin β is expressed at high levels in brain and hematopoietic tissues, such as bone marrow in humans, and spleen in mice. Product :
Rabbit IgG, 1mg/ml in PBS with 0.02% sodium azide, 50% glycerol, pH7.2 Storage&Stability :
Store at 4°C short term. Aliquot and store at -20°C long term. Avoid freeze-thaw cycles. Specificity :
Adducin β (E497) polyclonal antibody detects endogenous levels of Adducin β protein. Immunogen :
Synthetic peptide, corresponding to amino acids 470-520 of Human Adducin β. Conjugate :
Unconjugated Modification :
Unmodification
-
Western blot (WB) analysis of Adducin β (E497) pAb at 1:500 dilution Lane1:C6 whole cell lysate(40ug) Lane2:The Brain tissue lysate of Mouse(40ug) Lane3:U-87MG whole cell lysate(40ug) Lane4:K562 whole cell lysate(40ug) -
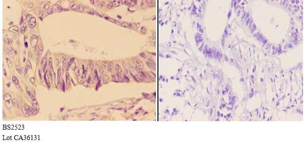
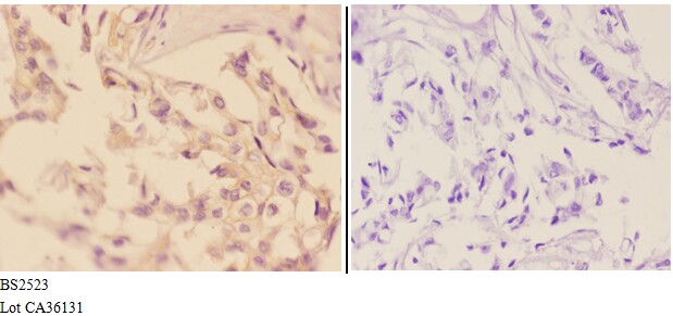
Immunohistochemistry (IHC) analyzes of Adducin β (E497) pAb in paraffin-embedded human breast carcinoma tissue at 1:50,showing cytoplasm and membrane staining.Negative control (the right)Using PBS instead of primary antibody, secondary antibody is Goat Anti-Rabbit IgG-biotin followed by avidin-peroxidase. -
Immunohistochemistry (IHC) analyzes of Adducin β (E497) pAb in paraffin-embedded human breast carcinoma tissue at 1:50,showing cytoplasm and membrane staining.Negative control (the right)Using PBS instead of primary antibody, secondary antibody is Goat Anti-Rabbit IgG-biotin followed by avidin-peroxidase.
Bioworld Biotech only provide peptides for our antibodies and do not provide additional peptide customization services.
Price/Size :
USD 368/1mg/vial
Tips:
For phospho antibody, we provide phospho peptide(0.5mg) and non-phospho peptide(0.5mg).Describe :
Blocking peptides are peptides that bind specifically to the target antibody and block antibody binding. These peptide usually contains the epitope recognized by the antibody. Antibodies bound to the blocking peptide no longer bind to the epitope on the target protein. This mechanism is useful when non-specific binding is an issue, for example, in Western blotting (WB) and Immunohistochemistry (IHC). By comparing the staining from the blocked antibody versus the antibody alone, one can see which staining is specific; Specific binding will be absent from the western blot or IHC performed with the neutralized antibody.Formula:
Synthetic peptide was lyophilized with 100% acetonitrile and is supplied as a powder. Reconstitute with 0.1 ml DI water for a final concentration of 10 mg/ml.The purity is >90%,tested by HPLC and MS.
Storage:
The freeze-dried powder is more stable. For short time at 2-8°C. For long term storage store at -20°C.
Note :
This product is for research use only (RUO only). Not for use in diagnostic or therapeutic procedures.
Adducin β (E497) polyclonal antibody
Datasheet
COA
MSDS
SHIP