Product Name :
ABL1 (E883) polyclonal antibody Background :
The Abl oncogene was initially identified as the viral transforming gene of Abelson murine leukemia virus (A-MuLV). The major translational product of c-Abl has been identified as a protein with tyrosine kinase activity and an SH2 domain. The Abl oncogene is implicated in several human leukemias including 90-95% of chronic myelocytic leukemia (CML), 20-25% of adult acute lymphoblastic leukemia (ALL) and 2-5% of pediatric ALL. In these leukemias the c-Abl proto-oncogene undergoes a (9;22) chromosomal translocation producing the Philadelphia (Ph1) chromosome. The molecular consequence of this translocation is the generation of a chimeric Bcr/c-Abl mRNA encoding activated Abl protein-tyrosine kinase. The Bcr gene has been shown to encode a GTPase-activating protein (GAP) specific for the Ras-related GTP-binding protein, p21rac. Product :
Rabbit IgG, 1mg/ml in PBS with 0.02% sodium azide, 50% glycerol, pH7.2 Storage&Stability :
Store at 4°C short term. Aliquot and store at -20°C long term. Avoid freeze-thaw cycles. Specificity :
ABL1 (E883) polyclonal antibody detects endogenous levels of ABL1 protein. Immunogen :
Synthetic peptide, corresponding to amino acids 851-900 of Human ABL1. Conjugate :
Unconjugated Modification :
Unmodification
ABL1 (E883) polyclonal antibody Background :
The Abl oncogene was initially identified as the viral transforming gene of Abelson murine leukemia virus (A-MuLV). The major translational product of c-Abl has been identified as a protein with tyrosine kinase activity and an SH2 domain. The Abl oncogene is implicated in several human leukemias including 90-95% of chronic myelocytic leukemia (CML), 20-25% of adult acute lymphoblastic leukemia (ALL) and 2-5% of pediatric ALL. In these leukemias the c-Abl proto-oncogene undergoes a (9;22) chromosomal translocation producing the Philadelphia (Ph1) chromosome. The molecular consequence of this translocation is the generation of a chimeric Bcr/c-Abl mRNA encoding activated Abl protein-tyrosine kinase. The Bcr gene has been shown to encode a GTPase-activating protein (GAP) specific for the Ras-related GTP-binding protein, p21rac. Product :
Rabbit IgG, 1mg/ml in PBS with 0.02% sodium azide, 50% glycerol, pH7.2 Storage&Stability :
Store at 4°C short term. Aliquot and store at -20°C long term. Avoid freeze-thaw cycles. Specificity :
ABL1 (E883) polyclonal antibody detects endogenous levels of ABL1 protein. Immunogen :
Synthetic peptide, corresponding to amino acids 851-900 of Human ABL1. Conjugate :
Unconjugated Modification :
Unmodification
-
Western blot (WB) analysis of ABL1 (E883) pAb at 1:500 dilution Lane1:A549 whole cell lysate(40ug) Lane2:HEK293T whole cell lysate(40ug) Lane3:CT26 whole cell lysate(40ug) Lane4:C6 whole cell lysate(40ug) -
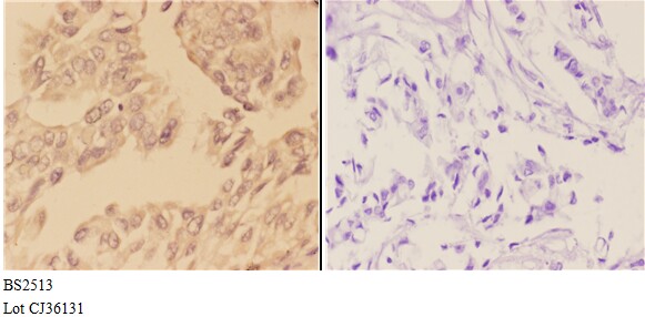
Immunohistochemistry (IHC) analyzes of ABL1 (E883) pAb in paraffin-embedded human breast carcinoma tissue at 1:50,showing cytoplasmic and nuclear staining.Negative control (the right)Using PBS instead of primary antibody, secondary antibody is Goat Anti-Rabbit IgG-biotin followed by avidin-peroxidase. -
Immunohistochemistry (IHC) analyzes of ABL1 (E883) pAb in paraffin-embedded human breast carcinoma tissue at 1:50,showing cytoplasmic and nuclear staining.Negative control (the right)Using PBS instead of primary antibody, secondary antibody is Goat Anti-Rabbit IgG-biotin followed by avidin-peroxidase.
Bioworld Biotech only provide peptides for our antibodies and do not provide additional peptide customization services.
Price/Size :
USD 368/1mg/vial
Tips:
For phospho antibody, we provide phospho peptide(0.5mg) and non-phospho peptide(0.5mg).Describe :
Blocking peptides are peptides that bind specifically to the target antibody and block antibody binding. These peptide usually contains the epitope recognized by the antibody. Antibodies bound to the blocking peptide no longer bind to the epitope on the target protein. This mechanism is useful when non-specific binding is an issue, for example, in Western blotting (WB) and Immunohistochemistry (IHC). By comparing the staining from the blocked antibody versus the antibody alone, one can see which staining is specific; Specific binding will be absent from the western blot or IHC performed with the neutralized antibody.Formula:
Synthetic peptide was lyophilized with 100% acetonitrile and is supplied as a powder. Reconstitute with 0.1 ml DI water for a final concentration of 10 mg/ml.The purity is >90%,tested by HPLC and MS.
Storage:
The freeze-dried powder is more stable. For short time at 2-8°C. For long term storage store at -20°C.
Note :
This product is for research use only (RUO only). Not for use in diagnostic or therapeutic procedures.
ABL1 (E883) polyclonal antibody
Datasheet
COA
MSDS
SHIP