Product Name :
AMPKγ1/2/3 (K78) polyclonal antibody Background :
The 5-AMP activated protein kinase (AMPK), a member of the SNF1 (sucrose non fermentor) kinase family, is a heterotrimeric protein comprise of alpha (63 kDa), beta (30 kDa) and gamma (38 kDa) subunits. The alpha subunit is the catalytic subunit, while beta and gamma are non catalytic subunits (although they have been found to interact with the active subunit in liver). AMPK regulates fatty acid and sterol synthesis by phosphorylation of acetyl-CoA as well as cholesterol synthesis via phosphorylation and inactivation of hydroxymethylglutaryl-CoA reductase. AMPK is activated by AMP and can be also regulated by treatment with purified protein phosphatase in vitro. Product :
Rabbit IgG, 1mg/ml in PBS with 0.02% sodium azide, 50% glycerol, pH7.2 Storage&Stability :
Store at 4°C short term. Aliquot and store at -20°C long term. Avoid freeze-thaw cycles. Specificity :
AMPKγ1/2/3 (K78) polyclonal antibody detects endogenous levels of total AMPKγ protein. Immunogen :
Synthetic peptide, corresponding to amino acids 50-100 of Human AMPKγ1. Conjugate :
Unconjugated Modification :
Unmodification
AMPKγ1/2/3 (K78) polyclonal antibody Background :
The 5-AMP activated protein kinase (AMPK), a member of the SNF1 (sucrose non fermentor) kinase family, is a heterotrimeric protein comprise of alpha (63 kDa), beta (30 kDa) and gamma (38 kDa) subunits. The alpha subunit is the catalytic subunit, while beta and gamma are non catalytic subunits (although they have been found to interact with the active subunit in liver). AMPK regulates fatty acid and sterol synthesis by phosphorylation of acetyl-CoA as well as cholesterol synthesis via phosphorylation and inactivation of hydroxymethylglutaryl-CoA reductase. AMPK is activated by AMP and can be also regulated by treatment with purified protein phosphatase in vitro. Product :
Rabbit IgG, 1mg/ml in PBS with 0.02% sodium azide, 50% glycerol, pH7.2 Storage&Stability :
Store at 4°C short term. Aliquot and store at -20°C long term. Avoid freeze-thaw cycles. Specificity :
AMPKγ1/2/3 (K78) polyclonal antibody detects endogenous levels of total AMPKγ protein. Immunogen :
Synthetic peptide, corresponding to amino acids 50-100 of Human AMPKγ1. Conjugate :
Unconjugated Modification :
Unmodification
-

-
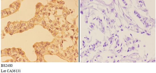
Immunohistochemistry (IHC) analyzes of AMPKγ1/2/3 (K78) pAb in paraffin-embedded human breast carcinoma tissue at 1:50,showing cytoplasm and nuclear staining.Negative control (the right)Using PBS instead of primary antibody, secondary antibody is Goat Anti-Rabbit IgG-biotin followed by avidin-peroxidase.
Bioworld Biotech only provide peptides for our antibodies and do not provide additional peptide customization services.
Price/Size :
USD 368/1mg/vial
Tips:
For phospho antibody, we provide phospho peptide(0.5mg) and non-phospho peptide(0.5mg).Describe :
Blocking peptides are peptides that bind specifically to the target antibody and block antibody binding. These peptide usually contains the epitope recognized by the antibody. Antibodies bound to the blocking peptide no longer bind to the epitope on the target protein. This mechanism is useful when non-specific binding is an issue, for example, in Western blotting (WB) and Immunohistochemistry (IHC). By comparing the staining from the blocked antibody versus the antibody alone, one can see which staining is specific; Specific binding will be absent from the western blot or IHC performed with the neutralized antibody.Formula:
Synthetic peptide was lyophilized with 100% acetonitrile and is supplied as a powder. Reconstitute with 0.1 ml DI water for a final concentration of 10 mg/ml.The purity is >90%,tested by HPLC and MS.
Storage:
The freeze-dried powder is more stable. For short time at 2-8°C. For long term storage store at -20°C.
Note :
This product is for research use only (RUO only). Not for use in diagnostic or therapeutic procedures.
AMPKγ1/2/3 (K78) polyclonal antibody
Datasheet
COA
MSDS
SHIP