Product Name :
Tsg 101 (E303) polyclonal antibody Background :
It is now well accepted that the transformation of a normal cell to one that is malignant can result from mutations in genes that encode proteins with key regulatory functions. Examples include the retinoblastoma gene product (Rb p110), p53, VHL and APC. Using a novel cloning strategy that allows the isolation of previously uncharacterized genes encoding selectable recessive phenotypes, an additional tumor suppressor gene has been identified. This gene, termed tsg 101 for tumor susceptibility gene 101, encodes a stathmin binding domain protein. When expression of this growth inhibitory gene is blocked in NIH/3T3 cells using antisense mRNA, the cells exhibit a transformed phenotype and are tumorigenic in SL6 mice. Product :
Rabbit IgG, 1mg/ml in PBS with 0.02% sodium azide, 50% glycerol, pH7.2 Storage&Stability :
Store at 4°C short term. Aliquot and store at -20°C long term. Avoid freeze-thaw cycles. Specificity :
Tsg 101 (E303) polyclonal antibody detects endogenous levels of Tsg 101 protein. Immunogen :
Synthetic peptide, corresponding to amino acids 268-320 of Human Tsg 101. Conjugate :
Unconjugated Modification :
Unmodification
Tsg 101 (E303) polyclonal antibody Background :
It is now well accepted that the transformation of a normal cell to one that is malignant can result from mutations in genes that encode proteins with key regulatory functions. Examples include the retinoblastoma gene product (Rb p110), p53, VHL and APC. Using a novel cloning strategy that allows the isolation of previously uncharacterized genes encoding selectable recessive phenotypes, an additional tumor suppressor gene has been identified. This gene, termed tsg 101 for tumor susceptibility gene 101, encodes a stathmin binding domain protein. When expression of this growth inhibitory gene is blocked in NIH/3T3 cells using antisense mRNA, the cells exhibit a transformed phenotype and are tumorigenic in SL6 mice. Product :
Rabbit IgG, 1mg/ml in PBS with 0.02% sodium azide, 50% glycerol, pH7.2 Storage&Stability :
Store at 4°C short term. Aliquot and store at -20°C long term. Avoid freeze-thaw cycles. Specificity :
Tsg 101 (E303) polyclonal antibody detects endogenous levels of Tsg 101 protein. Immunogen :
Synthetic peptide, corresponding to amino acids 268-320 of Human Tsg 101. Conjugate :
Unconjugated Modification :
Unmodification
-
Western blot (WB) analysis of Tsg 101 (E303) polyclonal antibody in extracts from HEK293A cells. -
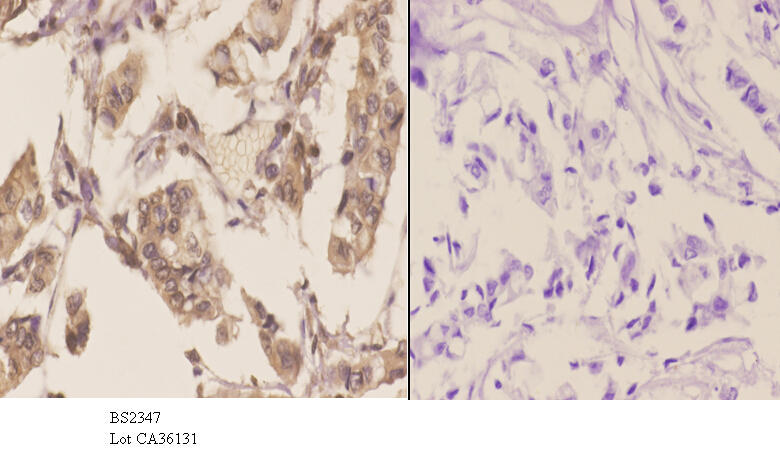
Immunohistochemistry (IHC) analyzes of Tsg 101 (E303) pAb in paraffin-embedded human breast carcinoma tissue at 1:50.showing nucleus/cell membrane and cytoplasmic staining. Negative control (the right)Using PBS instead of primary antibody, secondary antibody is Goat Anti-Rabbit IgG-biotin followed by avidin-peroxidase. -
Immunohistochemistry (IHC) analyzes of Tsg 101 (E303) pAb in paraffin-embedded human breast carcinoma tissue at 1:50.showing nucleus/cell membrane and cytoplasmic staining. Negative control (the right)Using PBS instead of primary antibody, secondary antibody is Goat Anti-Rabbit IgG-biotin followed by avidin-peroxidase.
Exosomes with low miR-34c-3p expression promote invasion and migration of non-small cell lung cancer by upregulating integrin α2β1
PMCID: Pubmed No.:32317629
Serum exosomes from epithelial ovarian cancer patients contain LRP1, which promotes the migration of epithelial ovarian cancer cell
PMCID: Pubmed No.:36842607
Bioworld Biotech only provide peptides for our antibodies and do not provide additional peptide customization services.
Price/Size :
USD 368/1mg/vial
Tips:
For phospho antibody, we provide phospho peptide(0.5mg) and non-phospho peptide(0.5mg).Describe :
Blocking peptides are peptides that bind specifically to the target antibody and block antibody binding. These peptide usually contains the epitope recognized by the antibody. Antibodies bound to the blocking peptide no longer bind to the epitope on the target protein. This mechanism is useful when non-specific binding is an issue, for example, in Western blotting (WB) and Immunohistochemistry (IHC). By comparing the staining from the blocked antibody versus the antibody alone, one can see which staining is specific; Specific binding will be absent from the western blot or IHC performed with the neutralized antibody.Formula:
Synthetic peptide was lyophilized with 100% acetonitrile and is supplied as a powder. Reconstitute with 0.1 ml DI water for a final concentration of 10 mg/ml.The purity is >90%,tested by HPLC and MS.
Storage:
The freeze-dried powder is more stable. For short time at 2-8°C. For long term storage store at -20°C.
Note :
This product is for research use only (RUO only). Not for use in diagnostic or therapeutic procedures.
Tsg 101 (E303) polyclonal antibody
Datasheet
COA
MSDS
SHIP