Product Name :
SMIF (S133) polyclonal antibody Background :
Signal transduction of TGF-β superfamily members is regulated by Smad proteins. In particular, Smads influence specific gene transcription by relaying signals from the cell membrane to the nucleus. Smad4 plays an essential role in TGF-β-induced transcriptional activation wherein phosphorylated receptor-associated Smads associate with Smad4. Furthermore, SMIF (Smad4-intereacting protein) and Smad4 complex with TGF-β and BMP4. An increase in Smad4 concentration increases the translocation of this complex to the nucleus. SMIF and Smad4 interact directly through a EVH1/WH1 domain on SMIF and a proline-rich activation domain on Smad4. Smad4 is essential to nuclear translocation of SMIF as deletion of the Smad4-interacting domain (located in the N-terminal 100 amino acids) of SMIF eliminates TGF-β-induced nuclear translocation of SMIF (1). The human SMIF gene is ubiquitously expressed and encodes a protein with a relative molecular mass of 70 kDa. Product :
Rabbit IgG, 1mg/ml in PBS with 0.02% sodium azide, 50% glycerol, pH7.2 Storage&Stability :
Store at 4°C short term. Aliquot and store at -20°C long term. Avoid freeze-thaw cycles. Specificity :
SMIF (S133) polyclonal antibody detects endogenous levels of SMIF protein. Immunogen :
Synthetic peptide, corresponding to amino acids 102-150 of Human SMIF. Conjugate :
Unconjugated Modification :
Unmodification
SMIF (S133) polyclonal antibody Background :
Signal transduction of TGF-β superfamily members is regulated by Smad proteins. In particular, Smads influence specific gene transcription by relaying signals from the cell membrane to the nucleus. Smad4 plays an essential role in TGF-β-induced transcriptional activation wherein phosphorylated receptor-associated Smads associate with Smad4. Furthermore, SMIF (Smad4-intereacting protein) and Smad4 complex with TGF-β and BMP4. An increase in Smad4 concentration increases the translocation of this complex to the nucleus. SMIF and Smad4 interact directly through a EVH1/WH1 domain on SMIF and a proline-rich activation domain on Smad4. Smad4 is essential to nuclear translocation of SMIF as deletion of the Smad4-interacting domain (located in the N-terminal 100 amino acids) of SMIF eliminates TGF-β-induced nuclear translocation of SMIF (1). The human SMIF gene is ubiquitously expressed and encodes a protein with a relative molecular mass of 70 kDa. Product :
Rabbit IgG, 1mg/ml in PBS with 0.02% sodium azide, 50% glycerol, pH7.2 Storage&Stability :
Store at 4°C short term. Aliquot and store at -20°C long term. Avoid freeze-thaw cycles. Specificity :
SMIF (S133) polyclonal antibody detects endogenous levels of SMIF protein. Immunogen :
Synthetic peptide, corresponding to amino acids 102-150 of Human SMIF. Conjugate :
Unconjugated Modification :
Unmodification
-
Western blot (WB) analysis of SMIF (S133) pAb at 1:500 dilution Lane1:HEK293T whole cell lysate(40ug) Lane2:HepG2 whole cell lysate(40ug) Lane3:H1792 whole cell lysate(40ug) Lane4:AML-12 whole cell lysate(40ug) Lane5:PC12 whole cell lysate(40ug) -
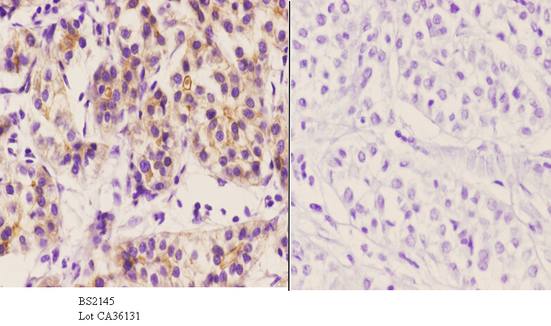
Immunohistochemistry (IHC) analyzes of SMIF (S133) pAb in paraffin-embedded human liver carcinoma tissue at 1:50.showing cytoplasmic and nucleus staining. Negative control (the right)Using PBS instead of primary antibody, secondary antibody is Goat Anti-Rabbit IgG-biotin followed by avidin-peroxidase.
Bioworld Biotech only provide peptides for our antibodies and do not provide additional peptide customization services.
Price/Size :
USD 368/1mg/vial
Tips:
For phospho antibody, we provide phospho peptide(0.5mg) and non-phospho peptide(0.5mg).Describe :
Blocking peptides are peptides that bind specifically to the target antibody and block antibody binding. These peptide usually contains the epitope recognized by the antibody. Antibodies bound to the blocking peptide no longer bind to the epitope on the target protein. This mechanism is useful when non-specific binding is an issue, for example, in Western blotting (WB) and Immunohistochemistry (IHC). By comparing the staining from the blocked antibody versus the antibody alone, one can see which staining is specific; Specific binding will be absent from the western blot or IHC performed with the neutralized antibody.Formula:
Synthetic peptide was lyophilized with 100% acetonitrile and is supplied as a powder. Reconstitute with 0.1 ml DI water for a final concentration of 10 mg/ml.The purity is >90%,tested by HPLC and MS.
Storage:
The freeze-dried powder is more stable. For short time at 2-8°C. For long term storage store at -20°C.
Note :
This product is for research use only (RUO only). Not for use in diagnostic or therapeutic procedures.
SMIF (S133) polyclonal antibody
Datasheet
COA
MSDS
SHIP