Product Name :
Recoverin (D143) polyclonal antibody Background :
Recoverin is implicated in the regulation of rhodopsin kinase activity that contributes to the adaptation to background illumination in retinal photoreceptor cells. Recoverin, a Ca2+-binding photoreceptor protein, is recognized as an autoantigen of cancer-associated retinopathy (CAR), which is a rare paraneoplastic neurological syndrome characterized by the degeneration of retinal photoreceptors and associated with small-cell lung cancer. Recoverin is a heterogeneously myristoylated protein that inhibits rhodopsin kinase by inhibiting its phosphorylation. Ca2+ is required for Recoverin to bind rhodopsin kinase. In addition, the binding of Recoverin-rhodopsin kinase is weakened by autophosphorylation of the kinase and is strengthened by the presence of ADP. Upon accommodating two Ca2+ ions, Recoverin extrudes a myristoyl group and associates with the lipid bilayer membrane. Product :
Rabbit IgG, 1mg/ml in PBS with 0.02% sodium azide, 50% glycerol, pH7.2 Storage&Stability :
Store at 4°C short term. Aliquot and store at -20°C long term. Avoid freeze-thaw cycles. Specificity :
Recoverin (D143) polyclonal antibody detects endogenous levels of Recoverin protein. Immunogen :
Synthetic peptide, corresponding to amino acids 120-160 of Human Recoverin. Conjugate :
Unconjugated Modification :
Unmodification
Recoverin (D143) polyclonal antibody Background :
Recoverin is implicated in the regulation of rhodopsin kinase activity that contributes to the adaptation to background illumination in retinal photoreceptor cells. Recoverin, a Ca2+-binding photoreceptor protein, is recognized as an autoantigen of cancer-associated retinopathy (CAR), which is a rare paraneoplastic neurological syndrome characterized by the degeneration of retinal photoreceptors and associated with small-cell lung cancer. Recoverin is a heterogeneously myristoylated protein that inhibits rhodopsin kinase by inhibiting its phosphorylation. Ca2+ is required for Recoverin to bind rhodopsin kinase. In addition, the binding of Recoverin-rhodopsin kinase is weakened by autophosphorylation of the kinase and is strengthened by the presence of ADP. Upon accommodating two Ca2+ ions, Recoverin extrudes a myristoyl group and associates with the lipid bilayer membrane. Product :
Rabbit IgG, 1mg/ml in PBS with 0.02% sodium azide, 50% glycerol, pH7.2 Storage&Stability :
Store at 4°C short term. Aliquot and store at -20°C long term. Avoid freeze-thaw cycles. Specificity :
Recoverin (D143) polyclonal antibody detects endogenous levels of Recoverin protein. Immunogen :
Synthetic peptide, corresponding to amino acids 120-160 of Human Recoverin. Conjugate :
Unconjugated Modification :
Unmodification
-
Western blot (WB) analysis of Recoverin (D143) pAb at 1:500 dilution Lane1:The Heart tissue lysate of Mouse(40ug) Lane2:HEK293T whole cell lysate(40ug) Lane3:The Eye tissue lysate of Mouse(40ug) Lane4:The Eye tissue lysate of Rat(40ug) -
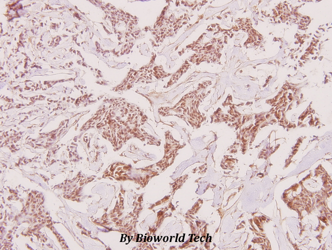
Immunohistochemistry (IHC) analyzes of Recoverin (D143) pAb in paraffin-embedded human breast carcinoma tissue at 1:100.
Bioworld Biotech only provide peptides for our antibodies and do not provide additional peptide customization services.
Price/Size :
USD 368/1mg/vial
Tips:
For phospho antibody, we provide phospho peptide(0.5mg) and non-phospho peptide(0.5mg).Describe :
Blocking peptides are peptides that bind specifically to the target antibody and block antibody binding. These peptide usually contains the epitope recognized by the antibody. Antibodies bound to the blocking peptide no longer bind to the epitope on the target protein. This mechanism is useful when non-specific binding is an issue, for example, in Western blotting (WB) and Immunohistochemistry (IHC). By comparing the staining from the blocked antibody versus the antibody alone, one can see which staining is specific; Specific binding will be absent from the western blot or IHC performed with the neutralized antibody.Formula:
Synthetic peptide was lyophilized with 100% acetonitrile and is supplied as a powder. Reconstitute with 0.1 ml DI water for a final concentration of 10 mg/ml.The purity is >90%,tested by HPLC and MS.
Storage:
The freeze-dried powder is more stable. For short time at 2-8°C. For long term storage store at -20°C.
Note :
This product is for research use only (RUO only). Not for use in diagnostic or therapeutic procedures.
Recoverin (D143) polyclonal antibody
Datasheet
COA
MSDS
SHIP