Product Name :
MDM2 (S160) polyclonal antibody Background :
p53 is the most commonly mutated gene in human cancer identified to date. Expression of p53 leads to inhibition of cell growth by preventing progression of cells from G1 to S phase of the cell cycle. Most importantly, p53 functions to cause arrest of cells in the G1 phase of the cell cycle following any exposure of cells to DNA-damaging agents. The MDM2 (murine double minute-2) protein was initially identified as an oncogene in a murine transformation system. MDM2 functions to bind p53 and block p53-mediated transactivation of cotransfected reporter constructs. The MDM2 gene is amplified in a high percentage of human sarcomas that retain wildtype p53 and tumor cells that overexpress MDM2 can tolerate high levels of p53 expression. These findings argue that MDM2 overexpression represents at least one mechanism by which p53 function can be abrogated during tumorigenesis. Product :
Rabbit IgG, 1mg/ml in PBS with 0.02% sodium azide, 50% glycerol, pH7.2 Storage&Stability :
Store at 4°C short term. Aliquot and store at -20°C long term. Avoid freeze-thaw cycles. Specificity :
MDM2 (S160) polyclonal antibody detects endogenous levels of MDM2 protein. Immunogen :
Synthetic peptide, corresponding to amino acids 130-180 of Human MDM2. Conjugate :
Unconjugated Modification :
Unmodification
MDM2 (S160) polyclonal antibody Background :
p53 is the most commonly mutated gene in human cancer identified to date. Expression of p53 leads to inhibition of cell growth by preventing progression of cells from G1 to S phase of the cell cycle. Most importantly, p53 functions to cause arrest of cells in the G1 phase of the cell cycle following any exposure of cells to DNA-damaging agents. The MDM2 (murine double minute-2) protein was initially identified as an oncogene in a murine transformation system. MDM2 functions to bind p53 and block p53-mediated transactivation of cotransfected reporter constructs. The MDM2 gene is amplified in a high percentage of human sarcomas that retain wildtype p53 and tumor cells that overexpress MDM2 can tolerate high levels of p53 expression. These findings argue that MDM2 overexpression represents at least one mechanism by which p53 function can be abrogated during tumorigenesis. Product :
Rabbit IgG, 1mg/ml in PBS with 0.02% sodium azide, 50% glycerol, pH7.2 Storage&Stability :
Store at 4°C short term. Aliquot and store at -20°C long term. Avoid freeze-thaw cycles. Specificity :
MDM2 (S160) polyclonal antibody detects endogenous levels of MDM2 protein. Immunogen :
Synthetic peptide, corresponding to amino acids 130-180 of Human MDM2. Conjugate :
Unconjugated Modification :
Unmodification
-
Western blot (WB) analysis of MDM2 (S160) polyclonal antibody at 1:500 dillution Lane1:HeLa whole cell lysate(30μg) Lane2:PC12 whole cell lysate(30μg) Lane3:sp2/0 whole cell lysate(30μg) -
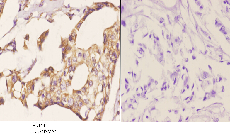
Immunohistochemistry (IHC) analyzes of MDM2 (S160) pAb in paraffin-embedded human breast carcinoma tissue at 1:50.showing cytoplasmic and nucleus staining. Negative control (the right)Using PBS instead of primary antibody, secondary antibody is Goat Anti-Rabbit IgG-biotin followed by avidin-peroxidase. -
Immunohistochemistry (IHC) analyzes of MDM2 (S160) pAb in paraffin-embedded human breast carcinoma tissue at 1:50.showing cytoplasmic and nucleus staining. Negative control (the right)Using PBS instead of primary antibody, secondary antibody is Goat Anti-Rabbit IgG-biotin followed by avidin-peroxidase. -
Immunohistochemistry (IHC) analyzes of MDM2 (S160) pAb in paraffin-embedded human breast carcinoma tissue at 1:50.showing cytoplasmic and nucleus staining. Negative control (the right)Using PBS instead of primary antibody, secondary antibody is Goat Anti-Rabbit IgG-biotin followed by avidin-peroxidase.
Bioworld Biotech only provide peptides for our antibodies and do not provide additional peptide customization services.
Price/Size :
USD 368/1mg/vial
Tips:
For phospho antibody, we provide phospho peptide(0.5mg) and non-phospho peptide(0.5mg).Describe :
Blocking peptides are peptides that bind specifically to the target antibody and block antibody binding. These peptide usually contains the epitope recognized by the antibody. Antibodies bound to the blocking peptide no longer bind to the epitope on the target protein. This mechanism is useful when non-specific binding is an issue, for example, in Western blotting (WB) and Immunohistochemistry (IHC). By comparing the staining from the blocked antibody versus the antibody alone, one can see which staining is specific; Specific binding will be absent from the western blot or IHC performed with the neutralized antibody.Formula:
Synthetic peptide was lyophilized with 100% acetonitrile and is supplied as a powder. Reconstitute with 0.1 ml DI water for a final concentration of 10 mg/ml.The purity is >90%,tested by HPLC and MS.
Storage:
The freeze-dried powder is more stable. For short time at 2-8°C. For long term storage store at -20°C.
Note :
This product is for research use only (RUO only). Not for use in diagnostic or therapeutic procedures.
MDM2 (S160) polyclonal antibody
Datasheet
COA
MSDS
SHIP