Product Name :
Daxx (K662) polyclonal antibody Background :
Apoptosis, or programmed cell death, occurs duringnormal cellular differentiation and development of multicellular organisms. Apoptosis is induced by certain cytokines including TNF and Fas ligand of the TNF family through their death domain containing receptors, TNFR1 and Fas. Cell death signals are transduced by death domain (DD) containing adapter molecules and members of the ICE/CED3 protease family. A novel DD containing molecule was recently cloned from mouse, human and monkey and designated Daxx. Daxx is a death domain containing important intermediate in the Fas mediated apoptosis. Daxx binds specifically to the Fas death domain and enhances Fas induced apoptosis and activates the Jun N terminal kinase (JNK) pathway. It is widely expressed in fetal and adult human and mouse tissue, indicating its important function in Fas signaling pathways. Product :
Rabbit IgG, 1mg/ml in PBS with 0.02% sodium azide, 50% glycerol, pH7.2 Storage&Stability :
Store at 4°C short term. Aliquot and store at -20°C long term. Avoid freeze-thaw cycles. Specificity :
Daxx (K662) polyclonal antibody detects endogenous levels of Daxx protein. Immunogen :
Synthetic peptide, corresponding to amino acids 630-680 of Human Daxx. Conjugate :
Unconjugated Modification :
Unmodification
Daxx (K662) polyclonal antibody Background :
Apoptosis, or programmed cell death, occurs duringnormal cellular differentiation and development of multicellular organisms. Apoptosis is induced by certain cytokines including TNF and Fas ligand of the TNF family through their death domain containing receptors, TNFR1 and Fas. Cell death signals are transduced by death domain (DD) containing adapter molecules and members of the ICE/CED3 protease family. A novel DD containing molecule was recently cloned from mouse, human and monkey and designated Daxx. Daxx is a death domain containing important intermediate in the Fas mediated apoptosis. Daxx binds specifically to the Fas death domain and enhances Fas induced apoptosis and activates the Jun N terminal kinase (JNK) pathway. It is widely expressed in fetal and adult human and mouse tissue, indicating its important function in Fas signaling pathways. Product :
Rabbit IgG, 1mg/ml in PBS with 0.02% sodium azide, 50% glycerol, pH7.2 Storage&Stability :
Store at 4°C short term. Aliquot and store at -20°C long term. Avoid freeze-thaw cycles. Specificity :
Daxx (K662) polyclonal antibody detects endogenous levels of Daxx protein. Immunogen :
Synthetic peptide, corresponding to amino acids 630-680 of Human Daxx. Conjugate :
Unconjugated Modification :
Unmodification
-

-
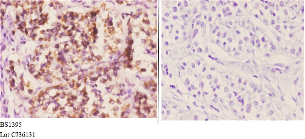
Immunohistochemistry (IHC) analyzes of Daxx (K662) pAb in paraffin-embedded human breast carcinoma tissue at 1:50.showing Cytoplasm and Nuclear staining. Negative control (the right)Using PBS instead of primary antibody, secondary antibody is Goat Anti-Rabbit IgG-biotin followed by avidin-peroxidase. -
Immunohistochemistry (IHC) analyzes of Daxx (K662) pAb in paraffin-embedded human breast carcinoma tissue at 1:50.showing Cytoplasm and Nuclear staining. Negative control (the right)Using PBS instead of primary antibody, secondary antibody is Goat Anti-Rabbit IgG-biotin followed by avidin-peroxidase. -
Immunohistochemistry (IHC) analyzes of Daxx (K662) pAb in paraffin-embedded human breast carcinoma tissue at 1:50.showing Cytoplasm and Nuclear staining. Negative control (the right)Using PBS instead of primary antibody, secondary antibody is Goat Anti-Rabbit IgG-biotin followed by avidin-peroxidase.
Bioworld Biotech only provide peptides for our antibodies and do not provide additional peptide customization services.
Price/Size :
USD 368/1mg/vial
Tips:
For phospho antibody, we provide phospho peptide(0.5mg) and non-phospho peptide(0.5mg).Describe :
Blocking peptides are peptides that bind specifically to the target antibody and block antibody binding. These peptide usually contains the epitope recognized by the antibody. Antibodies bound to the blocking peptide no longer bind to the epitope on the target protein. This mechanism is useful when non-specific binding is an issue, for example, in Western blotting (WB) and Immunohistochemistry (IHC). By comparing the staining from the blocked antibody versus the antibody alone, one can see which staining is specific; Specific binding will be absent from the western blot or IHC performed with the neutralized antibody.Formula:
Synthetic peptide was lyophilized with 100% acetonitrile and is supplied as a powder. Reconstitute with 0.1 ml DI water for a final concentration of 10 mg/ml.The purity is >90%,tested by HPLC and MS.
Storage:
The freeze-dried powder is more stable. For short time at 2-8°C. For long term storage store at -20°C.
Note :
This product is for research use only (RUO only). Not for use in diagnostic or therapeutic procedures.
Daxx (K662) polyclonal antibody
Datasheet
COA
MSDS
SHIP