Product Name :
HDGF polyclonal antibody Background :
This gene encodes a member of the hepatoma-derived growth factor family. The encoded protein has mitogenic and DNA-binding activity and may play a role in cellular proliferation and differentiation. This gene was thought initially to be located on chromosome X, however, that location has been determined to correspond to a related pseudogene. Product :
Rabbit IgG, 1mg/ml in PBS with 0.02% sodium azide, 50% glycerol, pH7.2 Storage&Stability :
Store at 4°C short term. Aliquot and store at -20°C long term. Avoid freeze-thaw cycles. Specificity :
HDGF polyclonal antibody detects endogenous levels of HDGF protein. Immunogen :
Recombinant full length Human HDGF. Conjugate :
Unconjugated Modification :
Unmodification
HDGF polyclonal antibody Background :
This gene encodes a member of the hepatoma-derived growth factor family. The encoded protein has mitogenic and DNA-binding activity and may play a role in cellular proliferation and differentiation. This gene was thought initially to be located on chromosome X, however, that location has been determined to correspond to a related pseudogene. Product :
Rabbit IgG, 1mg/ml in PBS with 0.02% sodium azide, 50% glycerol, pH7.2 Storage&Stability :
Store at 4°C short term. Aliquot and store at -20°C long term. Avoid freeze-thaw cycles. Specificity :
HDGF polyclonal antibody detects endogenous levels of HDGF protein. Immunogen :
Recombinant full length Human HDGF. Conjugate :
Unconjugated Modification :
Unmodification
-
Western blot analysis of HDGF polyclonal antibody -
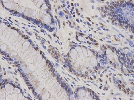
Immunohistochemistry (IHC) analysis of HDGF polyclonal antibody in paraffin-embedded Human Stomach tissue.
Bioworld Biotech only provide peptides for our antibodies and do not provide additional peptide customization services.
Price/Size :
USD 368/1mg/vial
Tips:
For phospho antibody, we provide phospho peptide(0.5mg) and non-phospho peptide(0.5mg).Describe :
Blocking peptides are peptides that bind specifically to the target antibody and block antibody binding. These peptide usually contains the epitope recognized by the antibody. Antibodies bound to the blocking peptide no longer bind to the epitope on the target protein. This mechanism is useful when non-specific binding is an issue, for example, in Western blotting (WB) and Immunohistochemistry (IHC). By comparing the staining from the blocked antibody versus the antibody alone, one can see which staining is specific; Specific binding will be absent from the western blot or IHC performed with the neutralized antibody.Formula:
Synthetic peptide was lyophilized with 100% acetonitrile and is supplied as a powder. Reconstitute with 0.1 ml DI water for a final concentration of 10 mg/ml.The purity is >90%,tested by HPLC and MS.
Storage:
The freeze-dried powder is more stable. For short time at 2-8°C. For long term storage store at -20°C.
Note :
This product is for research use only (RUO only). Not for use in diagnostic or therapeutic procedures.
HDGF polyclonal antibody
Datasheet
COA
MSDS
SHIP