Product Name :
RTCD1 polyclonal antibody Background :
RTCD1 catalyzes the conversion of 3'-phosphate to a 2',3'-cyclic phosphodiester at the end of RNA. The mechanism of action of the enzyme occurs in 3 steps: (A) adenylation of the enzyme by ATP; (B) the enzyme acts on RNA-N3'P to produce RNA-N3'PP5'A; (C) a non catalytic nucleophilic attack by the adjacent 2'hydroxyl on the phosphorus in the diester linkage to produce the cyclic end product. The biological role of this enzyme is unknown but it is likely to function in some aspects of cellular RNA processing. There are two named isoforms. Product :
Rabbit IgG, 1mg/ml in PBS with 0.02% sodium azide, 50% glycerol, pH7.2 Storage&Stability :
Store at 4°C short term. Aliquot and store at -20°C long term. Avoid freeze-thaw cycles. Specificity :
RTCD1 polyclonal antibody detects endogenous levels of RTCD1 protein. Immunogen :
Synthetic peptide, corresponding to amino acids 321-366 of Human RTCD1. Conjugate :
Unconjugated Modification :
Unmodification
RTCD1 polyclonal antibody Background :
RTCD1 catalyzes the conversion of 3'-phosphate to a 2',3'-cyclic phosphodiester at the end of RNA. The mechanism of action of the enzyme occurs in 3 steps: (A) adenylation of the enzyme by ATP; (B) the enzyme acts on RNA-N3'P to produce RNA-N3'PP5'A; (C) a non catalytic nucleophilic attack by the adjacent 2'hydroxyl on the phosphorus in the diester linkage to produce the cyclic end product. The biological role of this enzyme is unknown but it is likely to function in some aspects of cellular RNA processing. There are two named isoforms. Product :
Rabbit IgG, 1mg/ml in PBS with 0.02% sodium azide, 50% glycerol, pH7.2 Storage&Stability :
Store at 4°C short term. Aliquot and store at -20°C long term. Avoid freeze-thaw cycles. Specificity :
RTCD1 polyclonal antibody detects endogenous levels of RTCD1 protein. Immunogen :
Synthetic peptide, corresponding to amino acids 321-366 of Human RTCD1. Conjugate :
Unconjugated Modification :
Unmodification
-
Western blot (WB) analysis of RTCA pAb at 1:500 dilution Lane1:SGC7901 whole cell lysate(40ug) Lane2:Panc1 whole cell lysate(40ug) Lane3:C6 whole cell lysate(40ug) -
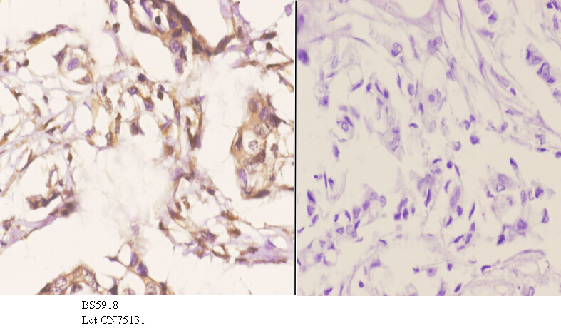
Immunohistochemistry (IHC) analyzes of RTCD1 pAb in paraffin-embedded human breast carcinoma tissue at 1:50.showing cytoplasmic and nucleus staining. Negative control (the right)Using PBS instead of primary antibody, secondary antibody is Goat Anti-Rabbit IgG-biotin followed by avidin-peroxidase.
Bioworld Biotech only provide peptides for our antibodies and do not provide additional peptide customization services.
Price/Size :
USD 368/1mg/vial
Tips:
For phospho antibody, we provide phospho peptide(0.5mg) and non-phospho peptide(0.5mg).Describe :
Blocking peptides are peptides that bind specifically to the target antibody and block antibody binding. These peptide usually contains the epitope recognized by the antibody. Antibodies bound to the blocking peptide no longer bind to the epitope on the target protein. This mechanism is useful when non-specific binding is an issue, for example, in Western blotting (WB) and Immunohistochemistry (IHC). By comparing the staining from the blocked antibody versus the antibody alone, one can see which staining is specific; Specific binding will be absent from the western blot or IHC performed with the neutralized antibody.Formula:
Synthetic peptide was lyophilized with 100% acetonitrile and is supplied as a powder. Reconstitute with 0.1 ml DI water for a final concentration of 10 mg/ml.The purity is >90%,tested by HPLC and MS.
Storage:
The freeze-dried powder is more stable. For short time at 2-8°C. For long term storage store at -20°C.
Note :
This product is for research use only (RUO only). Not for use in diagnostic or therapeutic procedures.
RTCD1 polyclonal antibody
Datasheet
COA
MSDS
SHIP