Product Name :
MRPL24 polyclonal antibody Background :
mitochondrial ribosomal protein L24(MRPL24) Homo sapiens Mammalian mitochondrial ribosomal proteins are encoded by nuclear genes and help in protein synthesis within the mitochondrion. Mitochondrial ribosomes (mitoribosomes) consist of a small 28S subunit and a large 39S subunit. They have an estimated 75% protein to rRNA composition compared to prokaryotic ribosomes, where this ratio is reversed. Another difference between mammalian mitoribosomes and prokaryotic ribosomes is that the latter contain a 5S rRNA. Among different species, the proteins comprising the mitoribosome differ greatly in sequence, and sometimes in biochemical properties, which prevents easy recognition by sequence homology. This gene encodes a 39S subunit protein which is more than twice the size of its E.coli counterpart (EcoL24). Sequence analysis identified two transcript variants that encode the same protein. [provided by RefSeq, Jul 2008], Product :
Liquid in PBS containing 50% glycerol, 0.5% BSA and 0.02% sodium azide. Storage&Stability :
Store at 4°C short term. Aliquot and store at -20°C long term. Avoid freeze-thaw cycles. Specificity :
MRP-L24 Polyclonal Antibody detects endogenous levels of MRP-L24 protein. Immunogen :
The antiserum was produced against synthesized peptide derived from human MRPL24. AA range:101-150 Conjugate :
Unconjugated Modification :
Unmodification
MRPL24 polyclonal antibody Background :
mitochondrial ribosomal protein L24(MRPL24) Homo sapiens Mammalian mitochondrial ribosomal proteins are encoded by nuclear genes and help in protein synthesis within the mitochondrion. Mitochondrial ribosomes (mitoribosomes) consist of a small 28S subunit and a large 39S subunit. They have an estimated 75% protein to rRNA composition compared to prokaryotic ribosomes, where this ratio is reversed. Another difference between mammalian mitoribosomes and prokaryotic ribosomes is that the latter contain a 5S rRNA. Among different species, the proteins comprising the mitoribosome differ greatly in sequence, and sometimes in biochemical properties, which prevents easy recognition by sequence homology. This gene encodes a 39S subunit protein which is more than twice the size of its E.coli counterpart (EcoL24). Sequence analysis identified two transcript variants that encode the same protein. [provided by RefSeq, Jul 2008], Product :
Liquid in PBS containing 50% glycerol, 0.5% BSA and 0.02% sodium azide. Storage&Stability :
Store at 4°C short term. Aliquot and store at -20°C long term. Avoid freeze-thaw cycles. Specificity :
MRP-L24 Polyclonal Antibody detects endogenous levels of MRP-L24 protein. Immunogen :
The antiserum was produced against synthesized peptide derived from human MRPL24. AA range:101-150 Conjugate :
Unconjugated Modification :
Unmodification
-
Western Blot analysis of various cells using MRP-L24 Polyclonal Antibody diluted at 1:2000 -
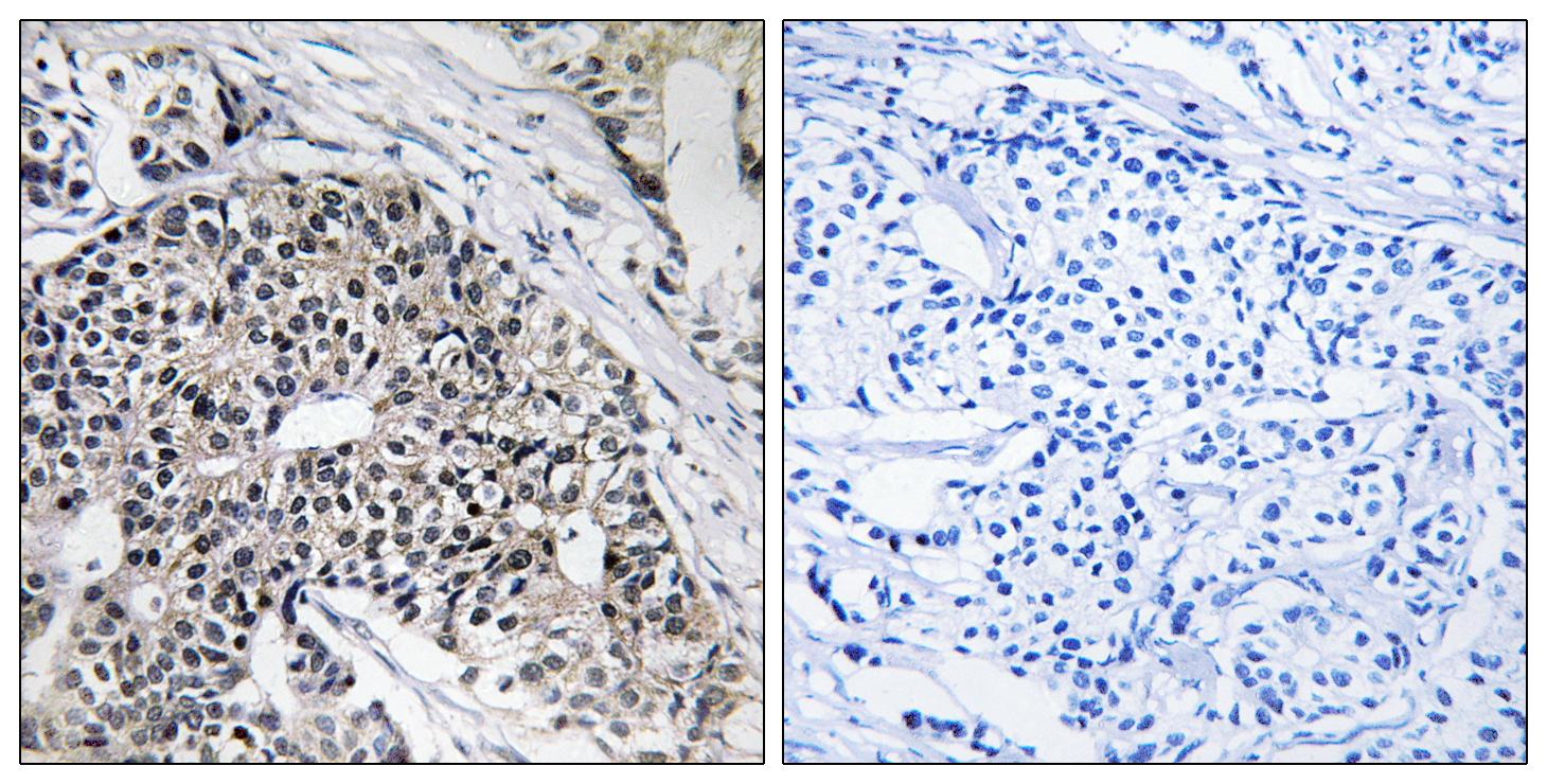
Immunohistochemistry analysis of paraffin-embedded human breast carcinoma tissue, using MRPL24 Antibody. The picture on the right is blocked with the synthesized peptide. -
Immunohistochemistry analysis of paraffin-embedded human breast carcinoma tissue, using MRPL24 Antibody. The picture on the right is blocked with the synthesized peptide.
Bioworld Biotech only provide peptides for our antibodies and do not provide additional peptide customization services.
Price/Size :
USD 368/1mg/vial
Tips:
For phospho antibody, we provide phospho peptide(0.5mg) and non-phospho peptide(0.5mg).Describe :
Blocking peptides are peptides that bind specifically to the target antibody and block antibody binding. These peptide usually contains the epitope recognized by the antibody. Antibodies bound to the blocking peptide no longer bind to the epitope on the target protein. This mechanism is useful when non-specific binding is an issue, for example, in Western blotting (WB) and Immunohistochemistry (IHC). By comparing the staining from the blocked antibody versus the antibody alone, one can see which staining is specific; Specific binding will be absent from the western blot or IHC performed with the neutralized antibody.Formula:
Synthetic peptide was lyophilized with 100% acetonitrile and is supplied as a powder. Reconstitute with 0.1 ml DI water for a final concentration of 10 mg/ml.The purity is >90%,tested by HPLC and MS.
Storage:
The freeze-dried powder is more stable. For short time at 2-8°C. For long term storage store at -20°C.
Note :
This product is for research use only (RUO only). Not for use in diagnostic or therapeutic procedures.
MRPL24 polyclonal antibody
Datasheet
COA
MSDS
SHIP