Product Name :
CBCP2 polyclonal antibody Background :
cofactor:Binds 1 zinc ion per subunit.,function:May play a role in the processing of tubulin.,sequence caution:Translated as Lys.,similarity:Belongs to the peptidase M14 family., Product :
Liquid in PBS containing 50% glycerol, 0.5% BSA and 0.02% sodium azide. Storage&Stability :
Store at 4°C short term. Aliquot and store at -20°C long term. Avoid freeze-thaw cycles. Specificity :
CCP2 Polyclonal Antibody detects endogenous levels of CCP2 protein. Immunogen :
The antiserum was produced against synthesized peptide derived from human CBCP2. AA range:731-780 Conjugate :
Unconjugated Modification :
Unmodification
CBCP2 polyclonal antibody Background :
cofactor:Binds 1 zinc ion per subunit.,function:May play a role in the processing of tubulin.,sequence caution:Translated as Lys.,similarity:Belongs to the peptidase M14 family., Product :
Liquid in PBS containing 50% glycerol, 0.5% BSA and 0.02% sodium azide. Storage&Stability :
Store at 4°C short term. Aliquot and store at -20°C long term. Avoid freeze-thaw cycles. Specificity :
CCP2 Polyclonal Antibody detects endogenous levels of CCP2 protein. Immunogen :
The antiserum was produced against synthesized peptide derived from human CBCP2. AA range:731-780 Conjugate :
Unconjugated Modification :
Unmodification
-
Western Blot analysis of various cells using CCP2 Polyclonal Antibody diluted at 1:2000 -
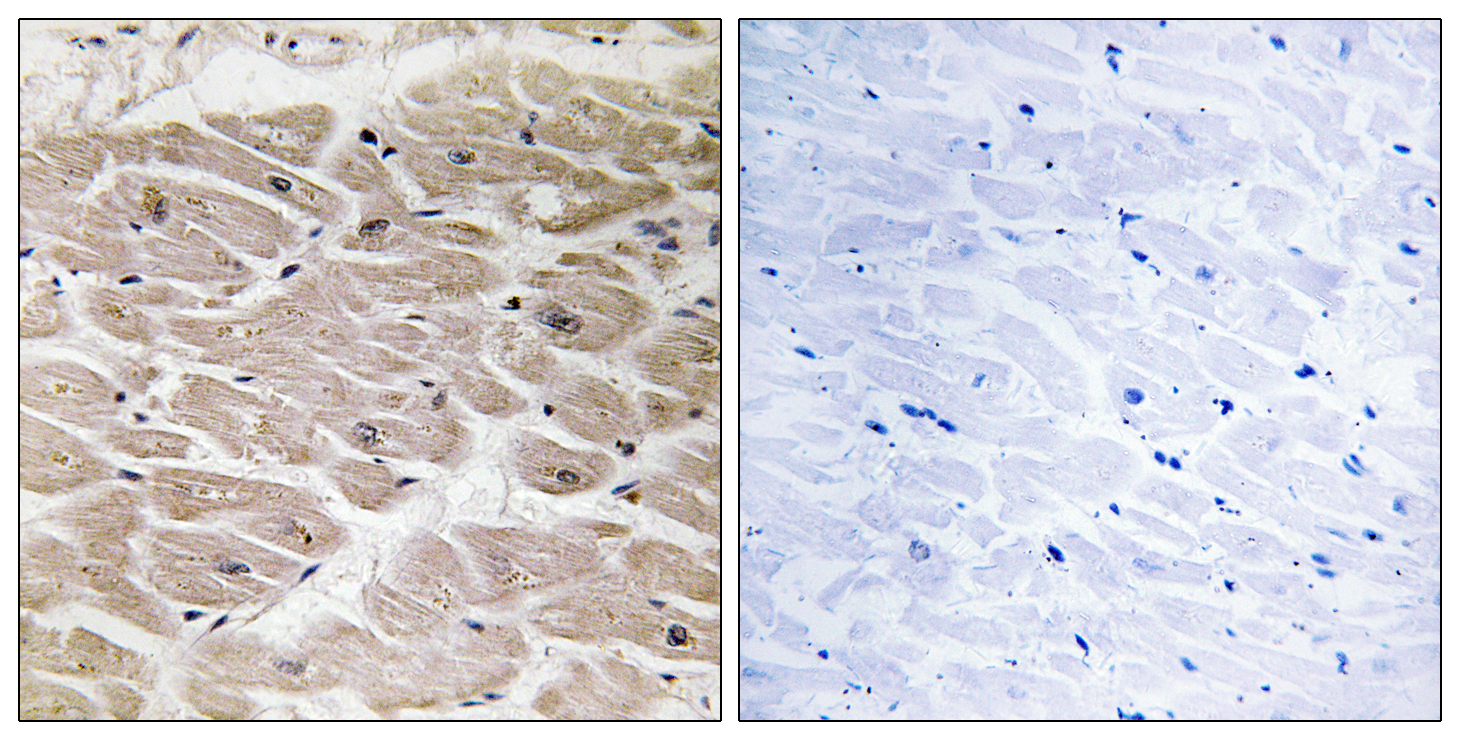
Immunohistochemistry analysis of paraffin-embedded human heart tissue, using CBCP2 Antibody. The picture on the right is blocked with the synthesized peptide. -
Immunohistochemistry analysis of paraffin-embedded human heart tissue, using CBCP2 Antibody. The picture on the right is blocked with the synthesized peptide. -
Immunohistochemistry analysis of paraffin-embedded human heart tissue, using CBCP2 Antibody. The picture on the right is blocked with the synthesized peptide.
Bioworld Biotech only provide peptides for our antibodies and do not provide additional peptide customization services.
Price/Size :
USD 368/1mg/vial
Tips:
For phospho antibody, we provide phospho peptide(0.5mg) and non-phospho peptide(0.5mg).Describe :
Blocking peptides are peptides that bind specifically to the target antibody and block antibody binding. These peptide usually contains the epitope recognized by the antibody. Antibodies bound to the blocking peptide no longer bind to the epitope on the target protein. This mechanism is useful when non-specific binding is an issue, for example, in Western blotting (WB) and Immunohistochemistry (IHC). By comparing the staining from the blocked antibody versus the antibody alone, one can see which staining is specific; Specific binding will be absent from the western blot or IHC performed with the neutralized antibody.Formula:
Synthetic peptide was lyophilized with 100% acetonitrile and is supplied as a powder. Reconstitute with 0.1 ml DI water for a final concentration of 10 mg/ml.The purity is >90%,tested by HPLC and MS.
Storage:
The freeze-dried powder is more stable. For short time at 2-8°C. For long term storage store at -20°C.
Note :
This product is for research use only (RUO only). Not for use in diagnostic or therapeutic procedures.
CBCP2 polyclonal antibody
Datasheet
COA
MSDS
SHIP