Product Name :
4E-BP1 (phospho-T37) polyclonal antibody Background :
The translation of proteins from eukaryotic mRNA is initiated by the multisubunit complex eIF-4F, which associates with the mRNA 5' cap structure. eIF-4E, a component of eIF-4F, is responsible for binding to the 5' cap structure and for the assembly of the eIF-4F complex. The regulatory protein 4E-BP1, also referred to as PHAS-I, inhibits eIF-4E function. Phosphorylation of 4E-BP1 by S6 kinase p70, MAP kinases or PKCs causes the disassociation of 4E-BP1 from eIF-4E, promoting translation. A protein that is functionally related to 4E-BP1, designated 4E-BP2, also associates with eIF-4E. Product :
Rabbit IgG, 1mg/ml in PBS with 0.02% sodium azide, 50% glycerol, pH7.2 Storage&Stability :
Store at 4°C short term. Aliquot and store at -20°C long term. Avoid freeze-thaw cycles. Specificity :
p-4E-BP1 (T37) polyclonal antibody detects endogenous levels of 4E-BP1 protein only when phosphorylated at Thr37. Immunogen :
Synthetic phosphopeptide derived from human 4E-BP1 around the phosphorylation site of Threonine 37. Conjugate :
Unconjugated Modification :
Phosphorylation
4E-BP1 (phospho-T37) polyclonal antibody Background :
The translation of proteins from eukaryotic mRNA is initiated by the multisubunit complex eIF-4F, which associates with the mRNA 5' cap structure. eIF-4E, a component of eIF-4F, is responsible for binding to the 5' cap structure and for the assembly of the eIF-4F complex. The regulatory protein 4E-BP1, also referred to as PHAS-I, inhibits eIF-4E function. Phosphorylation of 4E-BP1 by S6 kinase p70, MAP kinases or PKCs causes the disassociation of 4E-BP1 from eIF-4E, promoting translation. A protein that is functionally related to 4E-BP1, designated 4E-BP2, also associates with eIF-4E. Product :
Rabbit IgG, 1mg/ml in PBS with 0.02% sodium azide, 50% glycerol, pH7.2 Storage&Stability :
Store at 4°C short term. Aliquot and store at -20°C long term. Avoid freeze-thaw cycles. Specificity :
p-4E-BP1 (T37) polyclonal antibody detects endogenous levels of 4E-BP1 protein only when phosphorylated at Thr37. Immunogen :
Synthetic phosphopeptide derived from human 4E-BP1 around the phosphorylation site of Threonine 37. Conjugate :
Unconjugated Modification :
Phosphorylation
-

-
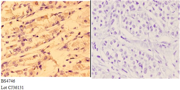
Immunohistochemistry (IHC) analyzes of 4E-BP1 (phospho-T37) pAb in paraffin-embedded human stomach carcinoma tissue at 1:50,showing cytoplasmic and nuclear staining.Negative control (the right)Using PBS instead of primary antibody, secondary antibody is Goat Anti-Rabbit IgG-biotin followed by avidin-peroxidase.
Cucurmosin induces apoptosis of BxPC-3 human pancreatic cancer cells via inactivation of the EGFR signaling pathway.
PMCID: Pubmed No.:22139427
Autophagy-dependent EIF2AK3 activation compromises ursolic acid-induced apoptosis through upregulation of MCL1 in MCF-7 human breast cancer cells
PMCID: Pubmed No.:23182854
Downregulation of angiogenin inhibits the growth and induces apoptosis in human bladder cancer cells through regulating AKT/mTOR signaling pathway
PMCID: Pubmed No.:25564356
Downregulation of angiogenin inhibits the growth and induces apoptosis in human bladder cancer cells through regulating AKT/mTOR signaling pathway
PMCID: Pubmed No.:25564356
miR-33a-5p enhances the sensitivity of lung adenocarcinoma cells to celastrol by regulating mTOR signaling
PMCID: Pubmed No.:29484434
Bioworld Biotech only provide peptides for our antibodies and do not provide additional peptide customization services.
Price/Size :
USD 368/1mg/vial
Tips:
For phospho antibody, we provide phospho peptide(0.5mg) and non-phospho peptide(0.5mg).Describe :
Blocking peptides are peptides that bind specifically to the target antibody and block antibody binding. These peptide usually contains the epitope recognized by the antibody. Antibodies bound to the blocking peptide no longer bind to the epitope on the target protein. This mechanism is useful when non-specific binding is an issue, for example, in Western blotting (WB) and Immunohistochemistry (IHC). By comparing the staining from the blocked antibody versus the antibody alone, one can see which staining is specific; Specific binding will be absent from the western blot or IHC performed with the neutralized antibody.Formula:
Synthetic peptide was lyophilized with 100% acetonitrile and is supplied as a powder. Reconstitute with 0.1 ml DI water for a final concentration of 10 mg/ml.The purity is >90%,tested by HPLC and MS.
Storage:
The freeze-dried powder is more stable. For short time at 2-8°C. For long term storage store at -20°C.
Note :
This product is for research use only (RUO only). Not for use in diagnostic or therapeutic procedures.
4E-BP1 (phospho-T37) polyclonal antibody
Datasheet
COA
MSDS
SHIP