Product Name :
Mammaglobin A monoclonal antibody Background :
Secretoglobins (also called Lipophilins or Mammaglobins) are small secreted proteins of endocrine-responsive organs and mucosal epithelia that form multimeric complexes and correlate with the development of various human cancers. Lipophilin A and Lipophilin B are orthologs of prostatein (estramustinebinding protein), the major secretory glycoprotein of the rat ventral prostate gland. Lipophilin A, also designated LIPA, LPHA and secretoglobin, family 1D, member 1 (SCGB1D1), is a component of a heterodimeric molecule present in human tears. Lipophilin B, also designated LIPB, LPHB and secretoglobin, family 1D, member 2 (SCGB1D2), mRNA can be overexpressed in breast tumors and shows a high degree of correlation with the mRNA expression profile of Mammaglobin. Histological detection in breast tissue of Mammaglobin A, also designated MGB1 and secretoglobin, family 2A, member 2 (SCGB2A2) and Mammaglobin B (also designated MGB2, Lipophilin C, LPHC, UGB3 and SCGB2A2) is a reliable diagnostic marker for breast tumors. Product :
Mouse IgG1. Liquid in PBS containing 50% glycerol, 0.2% BSA and 0.01% sodium azide. Storage&Stability :
Store at 4°C short term. Aliquot and store at -20°C long term. Avoid freeze-thaw cycles. Specificity :
Recognizes endogenous levels of Mammaglobin A protein. Immunogen :
KLH-conjugated synthetic peptide encompassing a sequence within human Mammaglobin A. The exact sequence is proprietary. Conjugate :
Unconjugated Modification :
Unmodification
Mammaglobin A monoclonal antibody Background :
Secretoglobins (also called Lipophilins or Mammaglobins) are small secreted proteins of endocrine-responsive organs and mucosal epithelia that form multimeric complexes and correlate with the development of various human cancers. Lipophilin A and Lipophilin B are orthologs of prostatein (estramustinebinding protein), the major secretory glycoprotein of the rat ventral prostate gland. Lipophilin A, also designated LIPA, LPHA and secretoglobin, family 1D, member 1 (SCGB1D1), is a component of a heterodimeric molecule present in human tears. Lipophilin B, also designated LIPB, LPHB and secretoglobin, family 1D, member 2 (SCGB1D2), mRNA can be overexpressed in breast tumors and shows a high degree of correlation with the mRNA expression profile of Mammaglobin. Histological detection in breast tissue of Mammaglobin A, also designated MGB1 and secretoglobin, family 2A, member 2 (SCGB2A2) and Mammaglobin B (also designated MGB2, Lipophilin C, LPHC, UGB3 and SCGB2A2) is a reliable diagnostic marker for breast tumors. Product :
Mouse IgG1. Liquid in PBS containing 50% glycerol, 0.2% BSA and 0.01% sodium azide. Storage&Stability :
Store at 4°C short term. Aliquot and store at -20°C long term. Avoid freeze-thaw cycles. Specificity :
Recognizes endogenous levels of Mammaglobin A protein. Immunogen :
KLH-conjugated synthetic peptide encompassing a sequence within human Mammaglobin A. The exact sequence is proprietary. Conjugate :
Unconjugated Modification :
Unmodification
-

-
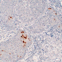
Immunohistochemical analysis of Mammaglobin A staining in human breast carcinoma formalin fixed paraffin embedded tissue section. The section was pre-treated using heat mediated antigen retrieval with sodium citrate buffer (pH 6.0). The section was then incubated with the antibody at room temperature and detected using an HRP conjugated compact polymer system. DAB was used as the chromogen. The section was then counterstained with haematoxylin and mounted with DPX.
Bioworld Biotech only provide peptides for our antibodies and do not provide additional peptide customization services.
Price/Size :
USD 368/1mg/vial
Tips:
For phospho antibody, we provide phospho peptide(0.5mg) and non-phospho peptide(0.5mg).Describe :
Blocking peptides are peptides that bind specifically to the target antibody and block antibody binding. These peptide usually contains the epitope recognized by the antibody. Antibodies bound to the blocking peptide no longer bind to the epitope on the target protein. This mechanism is useful when non-specific binding is an issue, for example, in Western blotting (WB) and Immunohistochemistry (IHC). By comparing the staining from the blocked antibody versus the antibody alone, one can see which staining is specific; Specific binding will be absent from the western blot or IHC performed with the neutralized antibody.Formula:
Synthetic peptide was lyophilized with 100% acetonitrile and is supplied as a powder. Reconstitute with 0.1 ml DI water for a final concentration of 10 mg/ml.The purity is >90%,tested by HPLC and MS.
Storage:
The freeze-dried powder is more stable. For short time at 2-8°C. For long term storage store at -20°C.
Note :
This product is for research use only (RUO only). Not for use in diagnostic or therapeutic procedures.
Mammaglobin A monoclonal antibody
Datasheet
COA
MSDS
SHIP