Product Name :
FLI1 monoclonal antibody Background :
Friend leukemia integration 1 (FLI1) transcription factor is an ETS domain-containing transcription factor that plays an important and highly conserved role in vertebrate development, particularly hematopoiesis, where it functions to activate transcription of genes that promote erythroblast proliferation. In mice, the Fli1 locus is a common retroviral insertion site for the Friend murine leukemia virus (F-MuLV), such that a majority of F-MuLV-induced erythroleukemias are associated with aberrant Fli1 expression. Notably in humans, aberrant FLI1 expression has also been linked to poor prognosis in acute myeloid leukemia. Also in humans, a t(11;22)(q24;q12) chromosomal translocation has been described that generates a chimeric protein (EWS/FLI1) comprised of the amino-terminal transactivation domain of Ewing's sarcoma breakpoint region 1 (EWS) and the carboxy-terminal ETS domain of FLI1. The EWS/FLI1 fusion protein functions as a transcriptional activator that is reportedly responsible for >85% of the known cases of pediatric Ewing’s sarcoma, an aggressive bone and soft tissue tumor. Product :
Mouse IgG1. Liquid in PBS containing 50% glycerol, 0.2% BSA and 0.01% sodium azide. Storage&Stability :
Store at 4°C short term. Aliquot and store at -20°C long term. Avoid freeze-thaw cycles. Specificity :
Recognizes endogenous levels of FLI1 protein. Immunogen :
KLH-conjugated synthetic peptide encompassing a sequence within human FLI1. The exact sequence is proprietary. Conjugate :
Unconjugated Modification :
Unmodification
FLI1 monoclonal antibody Background :
Friend leukemia integration 1 (FLI1) transcription factor is an ETS domain-containing transcription factor that plays an important and highly conserved role in vertebrate development, particularly hematopoiesis, where it functions to activate transcription of genes that promote erythroblast proliferation. In mice, the Fli1 locus is a common retroviral insertion site for the Friend murine leukemia virus (F-MuLV), such that a majority of F-MuLV-induced erythroleukemias are associated with aberrant Fli1 expression. Notably in humans, aberrant FLI1 expression has also been linked to poor prognosis in acute myeloid leukemia. Also in humans, a t(11;22)(q24;q12) chromosomal translocation has been described that generates a chimeric protein (EWS/FLI1) comprised of the amino-terminal transactivation domain of Ewing's sarcoma breakpoint region 1 (EWS) and the carboxy-terminal ETS domain of FLI1. The EWS/FLI1 fusion protein functions as a transcriptional activator that is reportedly responsible for >85% of the known cases of pediatric Ewing’s sarcoma, an aggressive bone and soft tissue tumor. Product :
Mouse IgG1. Liquid in PBS containing 50% glycerol, 0.2% BSA and 0.01% sodium azide. Storage&Stability :
Store at 4°C short term. Aliquot and store at -20°C long term. Avoid freeze-thaw cycles. Specificity :
Recognizes endogenous levels of FLI1 protein. Immunogen :
KLH-conjugated synthetic peptide encompassing a sequence within human FLI1. The exact sequence is proprietary. Conjugate :
Unconjugated Modification :
Unmodification
-
Western blot analysis of FLI1 expression in Jurkat (A) whole cell lysates. -
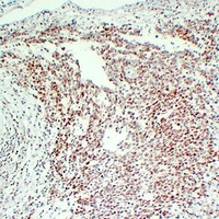
Immunohistochemical analysis of FLI1 staining in human hemangioendothelioma formalin fixed paraffin embedded tissue section. The section was pre-treated using heat mediated antigen retrieval with sodium citrate buffer (pH 6.0). The section was then incubated with the antibody at room temperature and detected using an HRP conjugated compact polymer system. DAB was used as the chromogen. The section was then counterstained with haematoxylin and mounted with DPX. -
Immunohistochemical analysis of FLI1 staining in human hemangioendothelioma formalin fixed paraffin embedded tissue section. The section was pre-treated using heat mediated antigen retrieval with sodium citrate buffer (pH 6.0). The section was then incubated with the antibody at room temperature and detected using an HRP conjugated compact polymer system. DAB was used as the chromogen. The section was then counterstained with haematoxylin and mounted with DPX.
Bioworld Biotech only provide peptides for our antibodies and do not provide additional peptide customization services.
Price/Size :
USD 368/1mg/vial
Tips:
For phospho antibody, we provide phospho peptide(0.5mg) and non-phospho peptide(0.5mg).Describe :
Blocking peptides are peptides that bind specifically to the target antibody and block antibody binding. These peptide usually contains the epitope recognized by the antibody. Antibodies bound to the blocking peptide no longer bind to the epitope on the target protein. This mechanism is useful when non-specific binding is an issue, for example, in Western blotting (WB) and Immunohistochemistry (IHC). By comparing the staining from the blocked antibody versus the antibody alone, one can see which staining is specific; Specific binding will be absent from the western blot or IHC performed with the neutralized antibody.Formula:
Synthetic peptide was lyophilized with 100% acetonitrile and is supplied as a powder. Reconstitute with 0.1 ml DI water for a final concentration of 10 mg/ml.The purity is >90%,tested by HPLC and MS.
Storage:
The freeze-dried powder is more stable. For short time at 2-8°C. For long term storage store at -20°C.
Note :
This product is for research use only (RUO only). Not for use in diagnostic or therapeutic procedures.
FLI1 monoclonal antibody
Datasheet
COA
MSDS
SHIP