Product Name :
Pr-Set7 monoclonal antibody Background :
SET domain-containing lysine methyltransferase 8 (SET8), also known as PR/SET domain-containing protein 7 (PR/SET7), is a member of a family of histone lysine methyltransferases, each of which contains a conserved catalytic SET domain originally identified in Drosophila Su[var]3-9, Enhancer of zeste, and Trithorax proteins. SET8 is a single-subunit enzyme that mono-methylates histone H4 on Lys20, preferably on nucleosomal substrates. SET8 protein levels and Histone H4 Lys20 methylation are cell cycle regulated, both increasing in S phase and peaking at G2/M phase. SET8 interacts with the PCNA protein, associates with sites of active DNA synthesis, and is required for DNA replication and genome stability during S phase. Inhibition of SET8 using shRNA or siRNA results in arrest of replication forks, induction of double-stranded DNA breaks, and a Chk1-mediated cell-cycle arrest in S and G2/M phases of the cell cycle. Furthermore, SET8 methylates p53 on Lys382, down regulating the pro-apoptotic and checkpoint activation functions of p53. In response to DNA damage, SET8 expression levels decrease, allowing p53 to activate checkpoints and/or apoptosis. Both the methylation of histone H4 Lys20 and p53 appear to be important for the functions of SET8 in S phase. Product :
Mouse IgG1. Liquid in PBS, pH 7.3, 30% glycerol, and 0.01% sodium azide. Storage&Stability :
Store at 4°C short term. Aliquot and store at -20°C long term. Avoid freeze-thaw cycles. Specificity :
Recognizes endogenous levels of Pr-Set7 protein. Immunogen :
Recombinant fusion protein of human Pr-Set7. The exact sequence is proprietary. Conjugate :
Unconjugated Modification :
Unmodification
Pr-Set7 monoclonal antibody Background :
SET domain-containing lysine methyltransferase 8 (SET8), also known as PR/SET domain-containing protein 7 (PR/SET7), is a member of a family of histone lysine methyltransferases, each of which contains a conserved catalytic SET domain originally identified in Drosophila Su[var]3-9, Enhancer of zeste, and Trithorax proteins. SET8 is a single-subunit enzyme that mono-methylates histone H4 on Lys20, preferably on nucleosomal substrates. SET8 protein levels and Histone H4 Lys20 methylation are cell cycle regulated, both increasing in S phase and peaking at G2/M phase. SET8 interacts with the PCNA protein, associates with sites of active DNA synthesis, and is required for DNA replication and genome stability during S phase. Inhibition of SET8 using shRNA or siRNA results in arrest of replication forks, induction of double-stranded DNA breaks, and a Chk1-mediated cell-cycle arrest in S and G2/M phases of the cell cycle. Furthermore, SET8 methylates p53 on Lys382, down regulating the pro-apoptotic and checkpoint activation functions of p53. In response to DNA damage, SET8 expression levels decrease, allowing p53 to activate checkpoints and/or apoptosis. Both the methylation of histone H4 Lys20 and p53 appear to be important for the functions of SET8 in S phase. Product :
Mouse IgG1. Liquid in PBS, pH 7.3, 30% glycerol, and 0.01% sodium azide. Storage&Stability :
Store at 4°C short term. Aliquot and store at -20°C long term. Avoid freeze-thaw cycles. Specificity :
Recognizes endogenous levels of Pr-Set7 protein. Immunogen :
Recombinant fusion protein of human Pr-Set7. The exact sequence is proprietary. Conjugate :
Unconjugated Modification :
Unmodification
-
Western blot analysis of Pr-Set7 expression in 293T (A), 293 (B), K562 (C) whole cell lysates. -
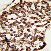
Immunohistochemical analysis of Pr-Set7 staining in human testis formalin fixed paraffin embedded tissue section. The section was pre-treated using heat mediated antigen retrieval with sodium citrate buffer (pH 6.0). The section was then incubated with the antibody at room temperature and detected using an HRP conjugated compact polymer system. DAB was used as the chromogen. The section was then counterstained with haematoxylin and mounted with DPX. -
Immunohistochemical analysis of Pr-Set7 staining in human testis formalin fixed paraffin embedded tissue section. The section was pre-treated using heat mediated antigen retrieval with sodium citrate buffer (pH 6.0). The section was then incubated with the antibody at room temperature and detected using an HRP conjugated compact polymer system. DAB was used as the chromogen. The section was then counterstained with haematoxylin and mounted with DPX.
Bioworld Biotech only provide peptides for our antibodies and do not provide additional peptide customization services.
Price/Size :
USD 368/1mg/vial
Tips:
For phospho antibody, we provide phospho peptide(0.5mg) and non-phospho peptide(0.5mg).Describe :
Blocking peptides are peptides that bind specifically to the target antibody and block antibody binding. These peptide usually contains the epitope recognized by the antibody. Antibodies bound to the blocking peptide no longer bind to the epitope on the target protein. This mechanism is useful when non-specific binding is an issue, for example, in Western blotting (WB) and Immunohistochemistry (IHC). By comparing the staining from the blocked antibody versus the antibody alone, one can see which staining is specific; Specific binding will be absent from the western blot or IHC performed with the neutralized antibody.Formula:
Synthetic peptide was lyophilized with 100% acetonitrile and is supplied as a powder. Reconstitute with 0.1 ml DI water for a final concentration of 10 mg/ml.The purity is >90%,tested by HPLC and MS.
Storage:
The freeze-dried powder is more stable. For short time at 2-8°C. For long term storage store at -20°C.
Note :
This product is for research use only (RUO only). Not for use in diagnostic or therapeutic procedures.
Pr-Set7 monoclonal antibody
Datasheet
COA
MSDS
SHIP