Product Name :
RPA2 monoclonal antibody Background :
RPA70 is a component of a heterotrimeric complex, composed of 70, 32/30, and 14 kDa subunits, collectively known as RPA. RPA is a single-stranded DNA binding protein, whose DNA binding activity is believed to reside entirely in the 70 kDa subunit. The complex is required for almost all aspects of cellular DNA metabolism such as DNA replication,recombination, cell cycle and DNA damage checkpoints, and all major types of DNA repair including nucleotide excision, base excision, mismatch, and double-strand break repairs . In response to genotoxic stress in eukaryotic cells, RPA has been shown to associate with the Rad9/Rad1/Hus1checkpoint complex. RPA is hyperphosphorylated upon DNA damage or replication stress by checkpoint kinases including ataxia telangiectasia mutated ATM and Rad3-related , and DNA-dependent protein kinase . Phosphorylation of RPA32 occurs at serines 4, 8, and 33 . Hyperphosphorylation may alter RPA-DNA and RPA-protein interactions. In addition to the checkpoint partners, RPA interacts with a wide variety of protein partners, including proteins required for normal replication such as RCF, PCNA, and Pol α, and also proteins involved in SV40 replication, such as DNA polymerase I and SV40 large T antigen . Product :
Mouse IgG1 kappa. Liquid in PBS, pH 7.3, 30% glycerol, and 0.01% sodium azide. Storage&Stability :
Store at 4°C short term. Aliquot and store at -20°C long term. Avoid freeze-thaw cycles. Specificity :
Recognizes endogenous levels of RPA2 protein. Immunogen :
Recombinant fusion protein of human RPA2. The exact sequence is proprietary. Conjugate :
Unconjugated Modification :
Unmodification
RPA2 monoclonal antibody Background :
RPA70 is a component of a heterotrimeric complex, composed of 70, 32/30, and 14 kDa subunits, collectively known as RPA. RPA is a single-stranded DNA binding protein, whose DNA binding activity is believed to reside entirely in the 70 kDa subunit. The complex is required for almost all aspects of cellular DNA metabolism such as DNA replication,recombination, cell cycle and DNA damage checkpoints, and all major types of DNA repair including nucleotide excision, base excision, mismatch, and double-strand break repairs . In response to genotoxic stress in eukaryotic cells, RPA has been shown to associate with the Rad9/Rad1/Hus1checkpoint complex. RPA is hyperphosphorylated upon DNA damage or replication stress by checkpoint kinases including ataxia telangiectasia mutated ATM and Rad3-related , and DNA-dependent protein kinase . Phosphorylation of RPA32 occurs at serines 4, 8, and 33 . Hyperphosphorylation may alter RPA-DNA and RPA-protein interactions. In addition to the checkpoint partners, RPA interacts with a wide variety of protein partners, including proteins required for normal replication such as RCF, PCNA, and Pol α, and also proteins involved in SV40 replication, such as DNA polymerase I and SV40 large T antigen . Product :
Mouse IgG1 kappa. Liquid in PBS, pH 7.3, 30% glycerol, and 0.01% sodium azide. Storage&Stability :
Store at 4°C short term. Aliquot and store at -20°C long term. Avoid freeze-thaw cycles. Specificity :
Recognizes endogenous levels of RPA2 protein. Immunogen :
Recombinant fusion protein of human RPA2. The exact sequence is proprietary. Conjugate :
Unconjugated Modification :
Unmodification
-
Western blot analysis of RPA2 expression in Hela (A), MCF7 (B), T47D (C), Ramos (D), 293T (E) whole cell lysates. -
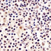
Immunohistochemical analysis of RPA2 staining in human tonsil formalin fixed paraffin embedded tissue section. The section was pre-treated using heat mediated antigen retrieval with sodium citrate buffer (pH 6.0). The section was then incubated with the antibody at room temperature and detected using an HRP conjugated compact polymer system. DAB was used as the chromogen. The section was then counterstained with haematoxylin and mounted with DPX.
Bioworld Biotech only provide peptides for our antibodies and do not provide additional peptide customization services.
Price/Size :
USD 368/1mg/vial
Tips:
For phospho antibody, we provide phospho peptide(0.5mg) and non-phospho peptide(0.5mg).Describe :
Blocking peptides are peptides that bind specifically to the target antibody and block antibody binding. These peptide usually contains the epitope recognized by the antibody. Antibodies bound to the blocking peptide no longer bind to the epitope on the target protein. This mechanism is useful when non-specific binding is an issue, for example, in Western blotting (WB) and Immunohistochemistry (IHC). By comparing the staining from the blocked antibody versus the antibody alone, one can see which staining is specific; Specific binding will be absent from the western blot or IHC performed with the neutralized antibody.Formula:
Synthetic peptide was lyophilized with 100% acetonitrile and is supplied as a powder. Reconstitute with 0.1 ml DI water for a final concentration of 10 mg/ml.The purity is >90%,tested by HPLC and MS.
Storage:
The freeze-dried powder is more stable. For short time at 2-8°C. For long term storage store at -20°C.
Note :
This product is for research use only (RUO only). Not for use in diagnostic or therapeutic procedures.
RPA2 monoclonal antibody
Datasheet
COA
MSDS
SHIP