Product Name :
RPL7 polyclonal antibody Background :
Ribosomes, the organelles that catalyze protein synthesis, consist of a small 40S subunit and a large 60S subunit. Together these subunits are composed of 4 RNA species and approximately 80 structurally distinct proteins. This gene encodes a ribosomal protein that is a component of the 60S subunit. The protein belongs to the L30P family of ribosomal proteins. It contains an N-terminal basic region-leucine zipper (BZIP)-like domain and the RNP consensus submotif RNP2. In vitro the BZIP-like domain mediates homodimerization and stable binding to DNA and RNA, with a preference for 28S rRNA and mRNA. The protein can inhibit cell-free translation of mRNAs, suggesting that it plays a regulatory role in the translation apparatus. It is located in the cytoplasm. The protein has been shown to be an autoantigen in patients with systemic autoimmune diseases, such as systemic lupus erythematosus. As is typical for genes encoding ribosomal proteins, there are multiple processed pseudogenes of this gene dispersed through the genome. Product :
1mg/ml in PBS with 0.02% sodium azide, 50% glycerol, pH7.2 Storage&Stability :
Store at 4°C short term. Aliquot and store at -20°C long term. Avoid freeze-thaw cycles. Specificity :
Unmodification Immunogen :
Recombinant fusion protein of human RPL7(NP_000962.2). Conjugate :
Unconjugated Modification :
Unmodification
RPL7 polyclonal antibody Background :
Ribosomes, the organelles that catalyze protein synthesis, consist of a small 40S subunit and a large 60S subunit. Together these subunits are composed of 4 RNA species and approximately 80 structurally distinct proteins. This gene encodes a ribosomal protein that is a component of the 60S subunit. The protein belongs to the L30P family of ribosomal proteins. It contains an N-terminal basic region-leucine zipper (BZIP)-like domain and the RNP consensus submotif RNP2. In vitro the BZIP-like domain mediates homodimerization and stable binding to DNA and RNA, with a preference for 28S rRNA and mRNA. The protein can inhibit cell-free translation of mRNAs, suggesting that it plays a regulatory role in the translation apparatus. It is located in the cytoplasm. The protein has been shown to be an autoantigen in patients with systemic autoimmune diseases, such as systemic lupus erythematosus. As is typical for genes encoding ribosomal proteins, there are multiple processed pseudogenes of this gene dispersed through the genome. Product :
1mg/ml in PBS with 0.02% sodium azide, 50% glycerol, pH7.2 Storage&Stability :
Store at 4°C short term. Aliquot and store at -20°C long term. Avoid freeze-thaw cycles. Specificity :
Unmodification Immunogen :
Recombinant fusion protein of human RPL7(NP_000962.2). Conjugate :
Unconjugated Modification :
Unmodification
-
Western blot analysis of extracts of various cell lines, using RPL7 antibody at 1:3000 dilution.
Secondary antibody: HRP Goat Anti-Rabbit IgG at 1:10000 dilution.
Lysates/proteins: 25ug per lane.
Blocking buffer: 3% nonfat dry milk in TBST.
Detection: ECL Basic Kit .
Exposure time: 60s. -
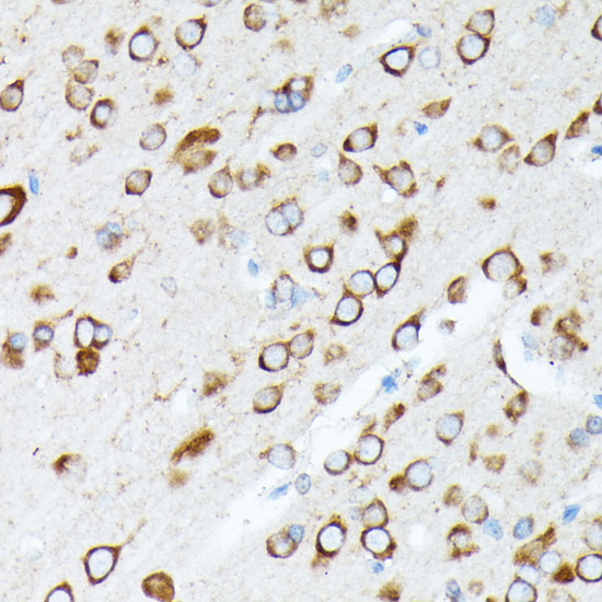
Immunohistochemistry of paraffin-embedded rat brain using RPL7 antibody at dilution of 1:100 .Perform microwave antigen retrieval with 10 mM PBS buffer pH 7.2 before commencing with IHC staining protocol. -
Immunohistochemistry of paraffin-embedded rat brain using RPL7 antibody at dilution of 1:100 .Perform microwave antigen retrieval with 10 mM PBS buffer pH 7.2 before commencing with IHC staining protocol. -
Immunohistochemistry of paraffin-embedded rat brain using RPL7 antibody at dilution of 1:100 .Perform microwave antigen retrieval with 10 mM PBS buffer pH 7.2 before commencing with IHC staining protocol.
Bioworld Biotech only provide peptides for our antibodies and do not provide additional peptide customization services.
Price/Size :
USD 368/1mg/vial
Tips:
For phospho antibody, we provide phospho peptide(0.5mg) and non-phospho peptide(0.5mg).Describe :
Blocking peptides are peptides that bind specifically to the target antibody and block antibody binding. These peptide usually contains the epitope recognized by the antibody. Antibodies bound to the blocking peptide no longer bind to the epitope on the target protein. This mechanism is useful when non-specific binding is an issue, for example, in Western blotting (WB) and Immunohistochemistry (IHC). By comparing the staining from the blocked antibody versus the antibody alone, one can see which staining is specific; Specific binding will be absent from the western blot or IHC performed with the neutralized antibody.Formula:
Synthetic peptide was lyophilized with 100% acetonitrile and is supplied as a powder. Reconstitute with 0.1 ml DI water for a final concentration of 10 mg/ml.The purity is >90%,tested by HPLC and MS.
Storage:
The freeze-dried powder is more stable. For short time at 2-8°C. For long term storage store at -20°C.
Note :
This product is for research use only (RUO only). Not for use in diagnostic or therapeutic procedures.
RPL7 polyclonal antibody
Datasheet
COA
MSDS
SHIP