Product Name :
LYAR polyclonal antibody Background :
Plays a role in the maintenance of the appropriate processing of 47S/45S pre-rRNA to 32S/30S pre-rRNAs and their subsequent processing to produce 18S and 28S rRNAs. Also acts at the level of transcription regulation. Along with PRMT5, binds the gamma-globin (HBG1/HBG2 promoter and represses its expression. In neuroblastoma cells, may also repress the expression of oxidative stress genes, including CHAC1, HMOX1, SLC7A11, ULBP1 and SNORD41 that encodes a small nucleolar RNA. Preferentially binds to a DNA motif containing 5'-GGTTAT-3'. Negatively regulates the antiviral innate immune response by targeting IRF3 and impairing its DNA-binding activity. In addition, inhibits NF-kappa-B-mediated expression of proinflammatory cytokines. Stimulates phagocytosis of photoreceptor outer segments by retinal pigment epithelial cells (By similarity. Prevents nucleolin/NCL self-cleavage, maintaining a normal steady-state level of NCL protein in undifferentiated embryonic stem cells (ESCs, which in turn is essential for ESC self-renewal (By similarity. Product :
1mg/ml in PBS with 0.02% sodium azide, 50% glycerol, pH7.2 Storage&Stability :
Store at 4°C short term. Aliquot and store at -20°C long term. Avoid freeze-thaw cycles. Specificity :
Unmodification Immunogen :
Recombinant fusion protein of human LYAR(NP_060286.1). Conjugate :
Unconjugated Modification :
Unmodification
LYAR polyclonal antibody Background :
Plays a role in the maintenance of the appropriate processing of 47S/45S pre-rRNA to 32S/30S pre-rRNAs and their subsequent processing to produce 18S and 28S rRNAs. Also acts at the level of transcription regulation. Along with PRMT5, binds the gamma-globin (HBG1/HBG2 promoter and represses its expression. In neuroblastoma cells, may also repress the expression of oxidative stress genes, including CHAC1, HMOX1, SLC7A11, ULBP1 and SNORD41 that encodes a small nucleolar RNA. Preferentially binds to a DNA motif containing 5'-GGTTAT-3'. Negatively regulates the antiviral innate immune response by targeting IRF3 and impairing its DNA-binding activity. In addition, inhibits NF-kappa-B-mediated expression of proinflammatory cytokines. Stimulates phagocytosis of photoreceptor outer segments by retinal pigment epithelial cells (By similarity. Prevents nucleolin/NCL self-cleavage, maintaining a normal steady-state level of NCL protein in undifferentiated embryonic stem cells (ESCs, which in turn is essential for ESC self-renewal (By similarity. Product :
1mg/ml in PBS with 0.02% sodium azide, 50% glycerol, pH7.2 Storage&Stability :
Store at 4°C short term. Aliquot and store at -20°C long term. Avoid freeze-thaw cycles. Specificity :
Unmodification Immunogen :
Recombinant fusion protein of human LYAR(NP_060286.1). Conjugate :
Unconjugated Modification :
Unmodification
-
Western blot analysis of extracts of various cell lines, using LYAR antibody at 1:1000 dilution.
Secondary antibody: HRP Goat Anti-Rabbit IgG at 1:10000 dilution.
Lysates/proteins: 25ug per lane.
Blocking buffer: 3% nonfat dry milk in TBST.
Detection: ECL Basic Kit .
Exposure time: 5s. -
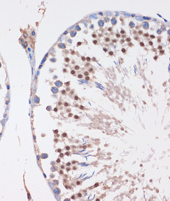
Immunohistochemistry of paraffin-embedded Rat testis using LYAR Rabbit pAb at dilution of 1:100 .Perform microwave antigen retrieval with 10 mM PBS buffer pH 7.2 before commencing with IHC staining protocol. -
Immunohistochemistry of paraffin-embedded Rat testis using LYAR Rabbit pAb at dilution of 1:100 .Perform microwave antigen retrieval with 10 mM PBS buffer pH 7.2 before commencing with IHC staining protocol. -
Immunohistochemistry of paraffin-embedded Rat testis using LYAR Rabbit pAb at dilution of 1:100 .Perform microwave antigen retrieval with 10 mM PBS buffer pH 7.2 before commencing with IHC staining protocol.
Bioworld Biotech only provide peptides for our antibodies and do not provide additional peptide customization services.
Price/Size :
USD 368/1mg/vial
Tips:
For phospho antibody, we provide phospho peptide(0.5mg) and non-phospho peptide(0.5mg).Describe :
Blocking peptides are peptides that bind specifically to the target antibody and block antibody binding. These peptide usually contains the epitope recognized by the antibody. Antibodies bound to the blocking peptide no longer bind to the epitope on the target protein. This mechanism is useful when non-specific binding is an issue, for example, in Western blotting (WB) and Immunohistochemistry (IHC). By comparing the staining from the blocked antibody versus the antibody alone, one can see which staining is specific; Specific binding will be absent from the western blot or IHC performed with the neutralized antibody.Formula:
Synthetic peptide was lyophilized with 100% acetonitrile and is supplied as a powder. Reconstitute with 0.1 ml DI water for a final concentration of 10 mg/ml.The purity is >90%,tested by HPLC and MS.
Storage:
The freeze-dried powder is more stable. For short time at 2-8°C. For long term storage store at -20°C.
Note :
This product is for research use only (RUO only). Not for use in diagnostic or therapeutic procedures.
LYAR polyclonal antibody
Datasheet
COA
MSDS
SHIP