Product Name :
Radixin polyclonal antibody Background :
Probably plays a crucial role in the binding of the barbed end of actin filaments to the plasma membrane. Product :
Rabbit IgG in phosphate buffered saline , pH 7.4, 150mM NaCl, 0.02% sodium azide and 50% glycerol. Storage&Stability :
Store at 4°C short term. Aliquot and store at -20°C long term. Avoid freeze-thaw cycles. Specificity :
IgG Immunogen :
A synthesized peptide derived from human Radixin Conjugate :
Unconjugated Modification :
Unmodified
Radixin polyclonal antibody Background :
Probably plays a crucial role in the binding of the barbed end of actin filaments to the plasma membrane. Product :
Rabbit IgG in phosphate buffered saline , pH 7.4, 150mM NaCl, 0.02% sodium azide and 50% glycerol. Storage&Stability :
Store at 4°C short term. Aliquot and store at -20°C long term. Avoid freeze-thaw cycles. Specificity :
IgG Immunogen :
A synthesized peptide derived from human Radixin Conjugate :
Unconjugated Modification :
Unmodified
-
Western blot analysis of Radixin in HeLa lysates using Radixin antibody. -
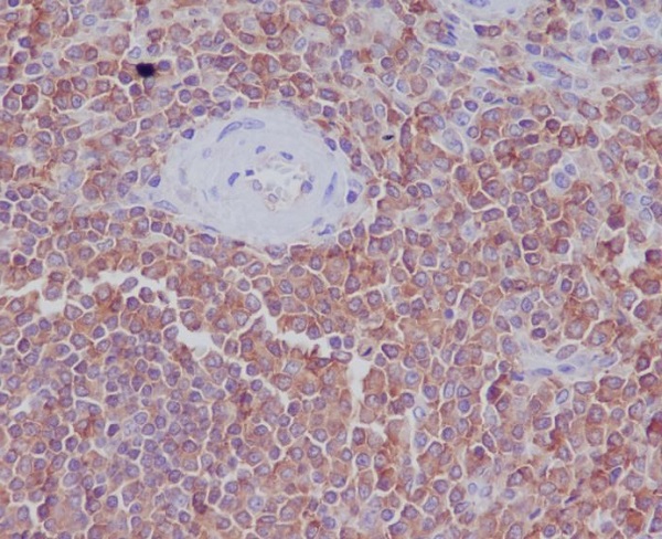
Immunohistochemistry analysis of paraffin-embedded Human spleen using Radixin antibody.High-pressure and temperature Sodium Citrate pH 6.0 was used for antigen retrieval.
Bioworld Biotech only provide peptides for our antibodies and do not provide additional peptide customization services.
Price/Size :
USD 368/1mg/vial
Tips:
For phospho antibody, we provide phospho peptide(0.5mg) and non-phospho peptide(0.5mg).Describe :
Blocking peptides are peptides that bind specifically to the target antibody and block antibody binding. These peptide usually contains the epitope recognized by the antibody. Antibodies bound to the blocking peptide no longer bind to the epitope on the target protein. This mechanism is useful when non-specific binding is an issue, for example, in Western blotting (WB) and Immunohistochemistry (IHC). By comparing the staining from the blocked antibody versus the antibody alone, one can see which staining is specific; Specific binding will be absent from the western blot or IHC performed with the neutralized antibody.Formula:
Synthetic peptide was lyophilized with 100% acetonitrile and is supplied as a powder. Reconstitute with 0.1 ml DI water for a final concentration of 10 mg/ml.The purity is >90%,tested by HPLC and MS.
Storage:
The freeze-dried powder is more stable. For short time at 2-8°C. For long term storage store at -20°C.
Note :
This product is for research use only (RUO only). Not for use in diagnostic or therapeutic procedures.
Radixin polyclonal antibody
Datasheet
COA
MSDS
SHIP