Product Name :
Nibrin polyclonal antibody Background :
NBS1 is a member of the MRE11/RAD50 double-strand break repair complex. Involved in DNA double-strand break repair and DNA damage-induced checkpoint activation. Mutation results in the Nijmegen breakage syndrome (NBS), an autosomal recessive chromosomal instability syndrome. Product :
Rabbit IgG in phosphate buffered saline , pH 7.4, 150mM NaCl, 0.02% sodium azide and 50% glycerol. Storage&Stability :
Store at 4°C short term. Aliquot and store at -20°C long term. Avoid freeze-thaw cycles. Specificity :
IgG Immunogen :
A synthesized peptide derived from human p95/NBS1 Conjugate :
Unconjugated Modification :
Unmodified
Nibrin polyclonal antibody Background :
NBS1 is a member of the MRE11/RAD50 double-strand break repair complex. Involved in DNA double-strand break repair and DNA damage-induced checkpoint activation. Mutation results in the Nijmegen breakage syndrome (NBS), an autosomal recessive chromosomal instability syndrome. Product :
Rabbit IgG in phosphate buffered saline , pH 7.4, 150mM NaCl, 0.02% sodium azide and 50% glycerol. Storage&Stability :
Store at 4°C short term. Aliquot and store at -20°C long term. Avoid freeze-thaw cycles. Specificity :
IgG Immunogen :
A synthesized peptide derived from human p95/NBS1 Conjugate :
Unconjugated Modification :
Unmodified
-
Western blot analysis of p95/NBS1 in HeLa lysates using Nibrin antibody. -
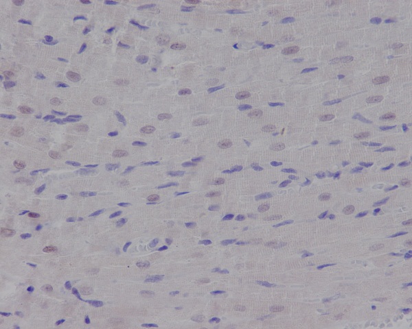
Immunohistochemistry analysis of paraffin-embedded rat heart using p95/NBS1 antibody.High-pressure and temperature Sodium Citrate pH 6.0 was used for antigen retrieval.
Bioworld Biotech only provide peptides for our antibodies and do not provide additional peptide customization services.
Price/Size :
USD 368/1mg/vial
Tips:
For phospho antibody, we provide phospho peptide(0.5mg) and non-phospho peptide(0.5mg).Describe :
Blocking peptides are peptides that bind specifically to the target antibody and block antibody binding. These peptide usually contains the epitope recognized by the antibody. Antibodies bound to the blocking peptide no longer bind to the epitope on the target protein. This mechanism is useful when non-specific binding is an issue, for example, in Western blotting (WB) and Immunohistochemistry (IHC). By comparing the staining from the blocked antibody versus the antibody alone, one can see which staining is specific; Specific binding will be absent from the western blot or IHC performed with the neutralized antibody.Formula:
Synthetic peptide was lyophilized with 100% acetonitrile and is supplied as a powder. Reconstitute with 0.1 ml DI water for a final concentration of 10 mg/ml.The purity is >90%,tested by HPLC and MS.
Storage:
The freeze-dried powder is more stable. For short time at 2-8°C. For long term storage store at -20°C.
Note :
This product is for research use only (RUO only). Not for use in diagnostic or therapeutic procedures.
Nibrin polyclonal antibody
Datasheet
COA
MSDS
SHIP