Product Name :
CKR 1 polyclonal antibody Background :
Receptor for a C-C type chemokine. Product :
Liquid in PBS containing 50% glycerol, 0.5% BSA and 0.02% sodium azide, pH 7.3. Storage&Stability :
Store at 4°C short term. Aliquot and store at -20°C long term. Avoid freeze-thaw cycles. Specificity :
IgG Immunogen :
Synthetic peptide from human protein at AA range: 151-200 Conjugate :
Unconjugated Modification :
Unmodified
CKR 1 polyclonal antibody Background :
Receptor for a C-C type chemokine. Product :
Liquid in PBS containing 50% glycerol, 0.5% BSA and 0.02% sodium azide, pH 7.3. Storage&Stability :
Store at 4°C short term. Aliquot and store at -20°C long term. Avoid freeze-thaw cycles. Specificity :
IgG Immunogen :
Synthetic peptide from human protein at AA range: 151-200 Conjugate :
Unconjugated Modification :
Unmodified
-
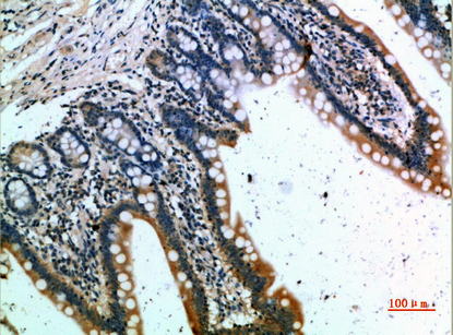
Immunohistochemistry analysis of paraffin-embedded Human smallintestine using CKR 1 antibody.High-pressure and temperature Sodium Citrate pH 6.0 was used for antigen retrieval. -
Immunohistochemical analysis of paraffin-embedded Human tonsils using CKR 1 antibody.High-pressure and temperature Sodium Citrate pH 6.0 was used for antigen retrieval.
Bioworld Biotech only provide peptides for our antibodies and do not provide additional peptide customization services.
Price/Size :
USD 368/1mg/vial
Tips:
For phospho antibody, we provide phospho peptide(0.5mg) and non-phospho peptide(0.5mg).Describe :
Blocking peptides are peptides that bind specifically to the target antibody and block antibody binding. These peptide usually contains the epitope recognized by the antibody. Antibodies bound to the blocking peptide no longer bind to the epitope on the target protein. This mechanism is useful when non-specific binding is an issue, for example, in Western blotting (WB) and Immunohistochemistry (IHC). By comparing the staining from the blocked antibody versus the antibody alone, one can see which staining is specific; Specific binding will be absent from the western blot or IHC performed with the neutralized antibody.Formula:
Synthetic peptide was lyophilized with 100% acetonitrile and is supplied as a powder. Reconstitute with 0.1 ml DI water for a final concentration of 10 mg/ml.The purity is >90%,tested by HPLC and MS.
Storage:
The freeze-dried powder is more stable. For short time at 2-8°C. For long term storage store at -20°C.
Note :
This product is for research use only (RUO only). Not for use in diagnostic or therapeutic procedures.
CKR 1 polyclonal antibody
Datasheet
COA
MSDS
SHIP