Product Name :
Cystatin C (4A9) monoclonal antibody Background :
Cystatin C is a 14 kDa member of the Cystatin superfamily of cysteine protease inhibitors. Most cell types secrete Cystatin C. Cystatin C inhibits cathepsins, and thereby may function as a tumor suppressor by inhibiting cathepsin mediated tumor cell invasion. In addition, this tumor suppressor function can also be attributed to Cystatin C's ability to antagonize TGF-β1 signaling. Product :
Liquid in PBS containing 50% glycerol, 0.5% BSA and 0.02% sodium azide, pH 7.3. Storage&Stability :
Store at 4°C short term. Aliquot and store at -20°C long term. Avoid freeze-thaw cycles. Specificity :
IgG1 Immunogen :
Purified recombinant protein expressed in E.coli. Conjugate :
Unconjugated Modification :
Unmodified
Cystatin C (4A9) monoclonal antibody Background :
Cystatin C is a 14 kDa member of the Cystatin superfamily of cysteine protease inhibitors. Most cell types secrete Cystatin C. Cystatin C inhibits cathepsins, and thereby may function as a tumor suppressor by inhibiting cathepsin mediated tumor cell invasion. In addition, this tumor suppressor function can also be attributed to Cystatin C's ability to antagonize TGF-β1 signaling. Product :
Liquid in PBS containing 50% glycerol, 0.5% BSA and 0.02% sodium azide, pH 7.3. Storage&Stability :
Store at 4°C short term. Aliquot and store at -20°C long term. Avoid freeze-thaw cycles. Specificity :
IgG1 Immunogen :
Purified recombinant protein expressed in E.coli. Conjugate :
Unconjugated Modification :
Unmodified
-
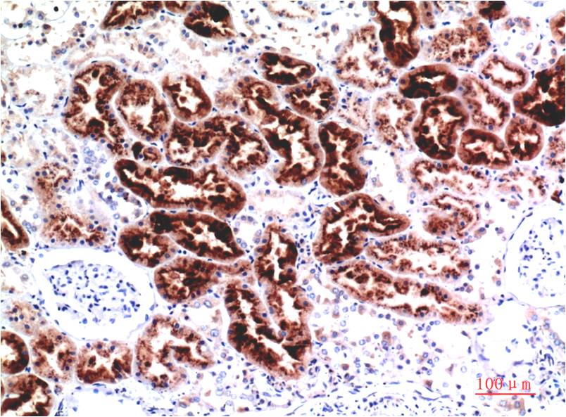
Immunohistochemistry analysis of paraffin-embedded Human Kidney Tissue using Cystatin C antibody.High-pressure and temperature Sodium Citrate pH 6.0 was used for antigen retrieval. -
Immunohistochemical analysis of paraffin-embedded Human tonsils using Cystatin C antibody.High-pressure and temperature Sodium Citrate pH 6.0 was used for antigen retrieval.
Bioworld Biotech only provide peptides for our antibodies and do not provide additional peptide customization services.
Price/Size :
USD 368/1mg/vial
Tips:
For phospho antibody, we provide phospho peptide(0.5mg) and non-phospho peptide(0.5mg).Describe :
Blocking peptides are peptides that bind specifically to the target antibody and block antibody binding. These peptide usually contains the epitope recognized by the antibody. Antibodies bound to the blocking peptide no longer bind to the epitope on the target protein. This mechanism is useful when non-specific binding is an issue, for example, in Western blotting (WB) and Immunohistochemistry (IHC). By comparing the staining from the blocked antibody versus the antibody alone, one can see which staining is specific; Specific binding will be absent from the western blot or IHC performed with the neutralized antibody.Formula:
Synthetic peptide was lyophilized with 100% acetonitrile and is supplied as a powder. Reconstitute with 0.1 ml DI water for a final concentration of 10 mg/ml.The purity is >90%,tested by HPLC and MS.
Storage:
The freeze-dried powder is more stable. For short time at 2-8°C. For long term storage store at -20°C.
Note :
This product is for research use only (RUO only). Not for use in diagnostic or therapeutic procedures.
Cystatin C (4A9) monoclonal antibody
Datasheet
COA
MSDS
SHIP