Product Name :
p53 (C-terminus) monoclonal antibody Background :
p53, a DNA-binding, oligomerization domain and transcription activation domain-containing tumor suppressor, upregulates growth arrest and apoptosisrelated genes in response to stress signals, thereby influencing programmed cell death, cell differentiation and cell cycle control mechanisms. p53 localizes to the nucleus, yet can be chaperoned to the cytoplasm by the negative regulator MDM2, an E3 ubiquitin ligase that is upregulated in the presence of active p53, where MDM2 poly-ubiquitinates p53 for proteasome targeting. p53 fluctuates between latent and active (DNA-binding) conformations and is differentially activated through posttranslational modifications including phosphorylation and acetylation. Product :
0.01M TBS(pH7.4) with 1% BSA, 0.03% Proclin300 and 50% Glycerol. Storage&Stability :
Store at 4°C short term. Aliquot and store at -20°C long term. Avoid freeze-thaw cycles. Specificity :
This antibody detects endogenous levels of p53 (C-terminus) and does not cross-react with related proteins Immunogen :
KLH conjugated synthetic peptide derived from human p53. Conjugate :
Unconjugated Modification :
Unmodified
p53 (C-terminus) monoclonal antibody Background :
p53, a DNA-binding, oligomerization domain and transcription activation domain-containing tumor suppressor, upregulates growth arrest and apoptosisrelated genes in response to stress signals, thereby influencing programmed cell death, cell differentiation and cell cycle control mechanisms. p53 localizes to the nucleus, yet can be chaperoned to the cytoplasm by the negative regulator MDM2, an E3 ubiquitin ligase that is upregulated in the presence of active p53, where MDM2 poly-ubiquitinates p53 for proteasome targeting. p53 fluctuates between latent and active (DNA-binding) conformations and is differentially activated through posttranslational modifications including phosphorylation and acetylation. Product :
0.01M TBS(pH7.4) with 1% BSA, 0.03% Proclin300 and 50% Glycerol. Storage&Stability :
Store at 4°C short term. Aliquot and store at -20°C long term. Avoid freeze-thaw cycles. Specificity :
This antibody detects endogenous levels of p53 (C-terminus) and does not cross-react with related proteins Immunogen :
KLH conjugated synthetic peptide derived from human p53. Conjugate :
Unconjugated Modification :
Unmodified
-
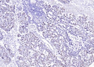
Primary: Anti-P53 at 1/1000 dilution -
Paraformaldehyde-fixed, paraffin embedded (Human esophageal cancer); Antigen retrieval by boiling in sodium citrate buffer (pH6.0) for 15min; Block endogenous peroxidase by 3% hydrogen peroxide for 20 minutes; Blocking buffer (normal goat serum) at 37°C for 30min; Antibody incubation with (P53) Monoclonal Antibody, Unconjugated at 1:500 overnight at 4°C.
Twist induces epithelial-mesenchymal transition and cell motility in breast cancer via ITGB1-FAK/ILK signaling axis and its associated downstream network
PMCID: Pubmed No.:26693891
Twist induces epithelial-mesenchymal transition and cell motility in breast cancer via ITGB1-FAK/ILK signaling axis and its associated downstream network
PMCID: Pubmed No.:26693891
Twist induces epithelial-mesenchymal transition and cell motility in breast cancer via ITGB1-FAK/ILK signaling axis and its associated downstream network
PMCID: Pubmed No.:26693891
Bioworld Biotech only provide peptides for our antibodies and do not provide additional peptide customization services.
Price/Size :
USD 368/1mg/vial
Tips:
For phospho antibody, we provide phospho peptide(0.5mg) and non-phospho peptide(0.5mg).Describe :
Blocking peptides are peptides that bind specifically to the target antibody and block antibody binding. These peptide usually contains the epitope recognized by the antibody. Antibodies bound to the blocking peptide no longer bind to the epitope on the target protein. This mechanism is useful when non-specific binding is an issue, for example, in Western blotting (WB) and Immunohistochemistry (IHC). By comparing the staining from the blocked antibody versus the antibody alone, one can see which staining is specific; Specific binding will be absent from the western blot or IHC performed with the neutralized antibody.Formula:
Synthetic peptide was lyophilized with 100% acetonitrile and is supplied as a powder. Reconstitute with 0.1 ml DI water for a final concentration of 10 mg/ml.The purity is >90%,tested by HPLC and MS.
Storage:
The freeze-dried powder is more stable. For short time at 2-8°C. For long term storage store at -20°C.
Note :
This product is for research use only (RUO only). Not for use in diagnostic or therapeutic procedures.
p53 (C-terminus) monoclonal antibody
Datasheet
COA
MSDS
SHIP